ARTÍCULO ORIGINALRELART - Vol 33 | Nº1 | Año 2026 - ISSN (en línea) 3072-8010

Posicionamiento del injerto coracoideo en la cirugía de Latarjet-Patte. Estudio comparativo entre técnica a mano alzada y asistida con guía

Diego Albertengo ID
, Gonzalo Mertenat ID
, Elías IlieffID

Departamento de Hombro, Sanatorio Mapaci. Santa Fe, Argentina.


Autor para correspondencia: Diego Albertengo, drdiegoalbertengo@gmail.com
Cómo citar: Albertengo D, Mertenat G, Ilieff E. Posicionamiento del injerto coracoideo en la cirugía de Latarjet-Patte. Estudio comparativo entre técnica a mano alzada y asistida con guía. Relart 2026;33(1):47-57
Recibido: 12/11/2025 · Aceptado: 9/02/2026 · Publicado: 1/04/2026 doi:https://doi.org/10.63403/re.v33i1.464
BY-NC-SA 4.0

RESUMEN

Introducción:la técnica de Latarjet-Patte es un procedimiento habitual en pacientes con inestabilidad anterior recurrente y pérdida de stock óseo glenoideo. Su éxito depende de la posición adecuada del injerto y de la correcta orientación de los tornillos.

Objetivos:comparar la posición del injerto y la dirección de los tornillos en la técnica a mano alzada frente a la asistida por guía.

Materiales y métodos:se realizó un estudio prospectivo, comparativo y aleatorizado entre agosto de 2021 y octubre de 2023. Se incluyeron 35 pacientes (edad media 31.7 años) con indicación quirúrgica de Latarjet-Patte.

Diecisiete pacientes fueron intervenidos con técnica a mano alzada (grupo 1) y 18, con técnica asistida por guía (grupo 2). La evaluación postoperatoria se hizo entre las semanas 4 y 6 mediante tomografía computarizada, analizando la posición del injerto, el ángulo α y el ángulo de contacto entre el injerto y la glena.

Resultados: en el plano sagital, el 94 % de los injertos del grupo 1 se ubicaron en posición adecuada, frente al 67 % en el grupo 2 (p = 0.042). En el plano axial, la posición “al ras” fue más frecuente en el grupo 2 (72 % vs. 53 %), sin significancia estadística (p = 0.238). No se encontraron diferencias en el ángulo α. El contacto injerto-glena completo se encontró en el 41 % del grupo 1 y en el 61 % del grupo 2 (p = 0.477).

Conclusiones: en este estudio prospectivo y aleatorizado, las técnicas de Latarjet-Patte a mano alzada y asistida con guía mostraron resultados comparables en el posicionamiento del injerto coracoideo y la orientación de los tornillos. La técnica a mano alzada logró un mejor posicionamiento en el plano sagital, mientras que la técnica asistida con guía mostró un mejor contacto del injerto en el plano axial, sin diferencias estadísticamente significativas entre ambas técnicas.



Palabras clave: Inestabilidad de hombro; Procedimiento de Latarjet-Patte; Guía de perforación; Posicionamiento del injerto coracoideo; Evaluación tomográfica

Nivel de evidencia: I. Estudio Prospectivo - Aleatorizado Controlado



Positioning of the Coracoid Graft in Latarjet-Patte Surgery. A Comparative Study Between Freehand and GuideAssisted Techniques

ABSTRACT

Introduction: the Latarjet-Patte technique is a commonly used procedure in patients with recurrent anterior shoulder instability and glenoid bone loss. Its success depends on accurate graft positioning and proper screw orientation.

Objectives: was to compare graft position and screw direction in the freehand Latarjet-Patte technique versus the guide-assisted technique.

Materials and methods: a prospective, comparative, randomized study was conducted between August 2021 and October 2023. Thirty-five patients (mean age 31.7 years) with an indication for Latarjet-Patte surgery were included. Seventeen patients underwent the freehand technique (group 1), and 18 underwent the guideassisted technique (group 2). Postoperative evaluation was performed between weeks 4 and 6 using computed tomography, assessing graft position, the α angle, and the graft–glenoid contact angle.

Results: in the sagittal plane, 94% of grafts in group 1 were positioned adequately compared to 67% in group 2 (p = 0.042). In the axial plane, a “flush” position was more frequent in group 2 (72% vs. 53%), although this difference was not statistically significant (p = 0.238). No significant differences were found in the α angle.

Complete graft–glenoid contact was observed in 41% of cases in group 1 and 61% in group 2 (p = 0.477).

Conclusions: in this prospective randomized study, freehand and guide-assisted Latarjet Patte techniques demonstrated comparable results in coracoid graft positioning and screw orientation. The freehand technique achieved better sagittal plane positioning, while the guide-assisted technique showed improved axial graft contact, with no statistically significant differences between techniques.



Keywords: Shoulder instability; Latarjet-Patte procedure; Drill guide; Coracoid graft positioning; Computed tomography evaluation.

Level of Evidence: I. Prospective Randomized Controlled Study


INTRODUCCIÓN

Las luxaciones de hombro representan el 45 % de todas las luxaciones articulares.1 La inestabilidad recidivante puede generar defectos óseos humerales y/o glenoideos.2 Se han propuesto múltiples técnicas quirúrgicas para el tratamiento de la inestabilidad anterior recurrente asociada a pérdida ósea, que buscan aumentar la superficie articular glenoidea, utilizando aloinjertos o autoinjertos.3

En 1954, Latarjet describió una técnica quirúrgica para la estabilización glenohumeral donde transfería y fijaba la apófisis coracoides mediante un tornillo al margen anterior de la glena.4 En 1980, Patte realizó una modificación de la técnica original donde fijó la coracoides con 2 tornillos y adicionó la reparación capsular utilizando el ligamento coracoacromial incorporando el concepto de triple-bloqueo.5

El injerto coracoideo aporta el “efecto óseo” al restaurar la superficie articular de la glena; el descenso del borde inferior del subescapular, generado por el tendón conjunto, produce el “efecto sling”; y el “efecto capsular” está dado por el cierre con el ligamento coracoacromial.6 En general, este procedimiento está indicado en los casos de pérdida de stock óseo glenoideo, y el éxito dependerá de la colocación precisa del bloque óseo coracoideo.7 Se ha demostrado que una ubicación medial a más de 10 mm del reborde glenoideo puede aumentar significativamente la tasa de recurrencias,8 mientras que su colocación lateral predispone al desarrollo de artrosis postoperatoria.9 Por otro lado, un inadecuado direccionamiento o posicionamiento de los tornillos puede generar, en la parte anterior, un desgaste progresivo de la cabeza humeral. También están reportadas lesiones del nervio supraescapular en caso de que los tornillos excedan en su longitud el margen posterior de la glenoides.10,11

En la técnica original descripta por Latarjet-Patte, la fijación de la coracoides se realizaba con tornillos “a mano alzada”.12-14 Actualmente, se han propuesto técnicas quirúrgicas asistidas con guía que simplificarían el procedimiento y podrían mejorar la precisión teórica en la orientación de los tornillos y posicionamiento del injerto. Sin embargo, la evidencia respecto a si esta mayor precisión técnica se traduce en un posicionamiento más adecuado del injerto, o en mejores resultados clínicos, aún es limitada.15

Dado que la correcta ubicación del bloque coracoideo resulta determinante para evitar complicaciones mecánicas y optimizar la estabilidad glenohumeral, evaluar la precisión en su posicionamiento cobra especial relevancia.11 Por eso, propusimos llevar a cabo un estudio para evaluar la posición del injerto coracoideo en la glena luego del procedimiento de Latarjet-Patte. Nuestra hipótesis es que no habría diferencias en el posicionamiento del injerto utilizando cualquiera de las dos técnicas. El objetivo de nuestro trabajo fue comparar la posición del injerto y la dirección de los tornillos en la técnica a mano alzada frente a la asistida por guía.

MATERIALES Y MÉTODOS

Se llevó a cabo un estudio de cohorte prospectivo y comparativo entre agosto de 2021 y octubre de 2023, avalado por el Comité de Ética de nuestra Institución. Se incluyeron pacientes mayores de 16 años, de ambos sexos, con diagnóstico de inestabilidad anterior de hombro con indicación quirúrgica de procedimiento de Latarjet-Patte. Se excluyeron los pacientes que requirieron otra técnica quirúrgica y aquellos que no dieron su consentimiento para realizar el estudio tomográfico postoperatorio. Mediante una selección aleatoria de la técnica quirúrgica, se compararon pacientes sometidos al procedimiento de Latarjet con técnica a mano alzada (grupo 1) con aquellos en los que se utilizó una técnica asistida por guía (grupo 2). La aleatorización se realizó mediante la apertura prequirúrgica de sobres cerrados.

Dado el carácter exploratorio de este estudio, no se realizó un cálculo formal previo de tamaño muestral.

Se incluyeron consecutivamente todos los pacientes que cumplieron los criterios de inclusión durante el período establecido. Todos los procedimientos se realizaron en un centro privado de la ciudad de Rosario, Argentina, por un mismo cirujano y con el mismo equipo quirúrgico. Todos los pacientes fueron evaluados entre las semanas 4 y 6 posteriores a la cirugía mediante tomografía computada (TC) de hombro, en planos axial y sagital para evaluación de la posición del injerto coracoideo y de los tornillos.

Técnica quirúrgica

A través de un abordaje deltopectoral entre 5 y 7 cm de longitud, comenzando en la punta de la coracoides y en dirección al pliegue axilar, se expuso la apófisis coracoides, se seccionó el ligamento coracoacromial del lado acromial preservando su inserción coracoidea y se liberó el pectoral menor del borde medial. Se realizó la osteotomía de la coracoides con el objetivo de obtener un injerto de 2.5 a 3 cm de longitud. Se efectuó la decorticación del borde inferior y su perforación difirió de acuerdo con la técnica utilizada: a mano alzada, se realizaron túneles independientes con una mecha de 3.2 mm con un puente óseo suficiente entre ambos orificios, mientras que en la técnica asistida con guía el fresado fue de 4 mm y la guía aseguró una distancia adecuada entre ambos túneles óseos.

Identificado el subescapular, se efectuó el split en la unión de los dos tercios superiores y el tercio inferior.

Se identificó la cápsula articular y se la incidió en sentido vertical. Se resecó todo el tejido capsulolabral anterior remanente y se realizó la decorticación de borde medial de la glenoides. En la técnica “a mano alzada”, la perforación para el tornillo inferior se hizo a 5-7 mm medial a la superficie glenoidea (según el tamaño de la coracoides), se posicionó la coracoides en el margen glenoideo anterior y se fijó con un tornillo esponjoso de rosca parcial (SAI 4 mm y Arthrex 3.75 mm) de entre 34-36 mm de longitud. Posicionado el injerto, se procedió al fresado y colocación del tornillo superior.

En la técnica asistida por guía, para la colocación y fijación final del injerto coracoideo, se empleó un dispositivo de orificios paralelos sin offset (SAI - Arthrex) facilitando el paralelismo de los tornillos.

Finalmente, se suturó el remanente de la cápsula humeral al ligamento coracoacromial con 2 suturas reabsorbibles, con el brazo en 30° de abducción y rotación externa.

Todos los pacientes fueron inmovilizados con un cabestrillo neutro por 4 semanas, con ejercicios pasivos de codo, muñeca y mano. Luego comenzaron con el protocolo de rehabilitación correspondiente.

Evaluación con TC

Todos los pacientes que dieron su consentimiento para participar en el estudio fueron sometidos a una TC entre la cuarta y sexta semanas del postoperatorio, según el mismo protocolo (escáner de TC, con grosor de corte establecido en 1 mm, filtro óseo; equipo Toshiba Alexión de 16 detectores).

Todas las imágenes se procesaron con el software Carestream Vue Motion. El protocolo de análisis de imagen utilizado se desarrolló durante un estudio multicéntrico sobre la posición del injerto coracoideo después del procedimiento de Latarjet-Patte.16 Todas las mediciones fueron realizadas por un cirujano ortopédico diferente de quien llevó a cabo las intervenciones quirúrgicas. El evaluador se encontraba cegado al tipo de técnica utilizada y a los datos clínicos de los pacientes al momento del análisis tomográfico. No se evaluó formalmente la reproducibilidad intraobservador ni interobservador.

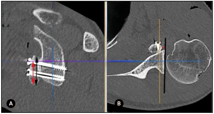
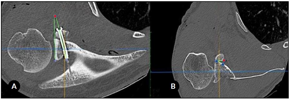
Se mostraron simultáneamente en la misma pantalla las imágenes en 2 planos (sagital y axial). Luego se realizaron las siguientes 4 medidas para cada paciente: (A) la posición del injerto coracoideo en el plano sagital, (B) la posición del injerto en el plano axial, (C) la dirección de los tornillos (ángulo), y (D) el ángulo de contacto (Figs. 1 y 2).

La posición del injerto coracoideo en el plano sagital se definió como el porcentaje del injerto ubicado debajo del ecuador de la cavidad glenoidea. Dividimos los resultados en 4 grupos: A (80-100 % por debajo del ecuador), B (60-79 %), C (40-59 %) y D (<40 %).

En el plano axial, el injerto coracoideo se consideró “al ras” cuando el borde lateral del injerto estaba entre 1 mm lateral y 4 mm medial a la línea articular; “medial” cuando estaba >4 mm medial a la línea articular; y “prominente” cuando era >1 mm lateral a la línea articular. El ángulo α se definió como el ángulo entre el eje del tornillo y el hueso subcondral glenoideo. Finalmente, el ángulo de contacto fue el ángulo formado entre la superficie posterior del injerto coracoideo (medido entre los 2 tornillos) y el cuello anterior de la glena. Se consideró contacto completo si el ángulo era ≤4 e incompleto cuando era >4. Si el espacio entre el injerto y la glenoides era >1 mm, asumimos que no existía contacto.16

Figura 1. Evaluación del injerto coracoideo. A) Plano sagital en relación con el ecuador de la glena. La flecha negra indica la longitud total del injerto coracoideo, mientras que la flecha roja muestra la parte del injerto que se encuentra debajo del ecuador glenoideo. B) Plano axial (posición mediolateral). La línea negra es tangente al hueso subcondral de la glenoides mientras que la línea roja indica la distancia entre la línea negra y la cara más lateral del injerto coracoideo.

Figura 2. A) Cálculo de la dirección del tornillo (ángulo). El punto rojo indica el ángulo formado por el eje del tornillo y el hueso subcondral glenoideo (líneas verdes). B) Evaluación del contacto del injerto coracoideo con la superficie glenoidea anterior. El ángulo de contacto se define desde la superficie posterior del injerto coracoideo (línea verde entre los puntos rojo y azul) y el cuello anterior de la cavidad glenoidea (línea verde entre los 2 puntos azules).

Análisis estadístico

Para la depuración, el procesamiento y el análisis estadístico de los datos mediante medidas descriptivas, tablas de frecuencias, gráficos, test de normalidad de Shapiro-Wilk, test de homogeneidad de proporciones Chi-Cuadrado, test de independencia Chi-Cua drado, test de diferencias de medianas de la U de Mann-Whitney y cálculo del coeficiente de correlación de Spearman, se utilizaron los programas estadísticos Minitab (v. 16) y R (v. 4.2.2). Un nivel de significancia del 5 % fue utilizado para realizar las pruebas estadísticas.

RESULTADOS

Se incluyeron inicialmente 42 pacientes, de los cuales 7 no aceptaron realizarse la evaluación tomográfica. En consecuencia, el análisis final se efectuó sobre 35 pacientes. La media de edad fue de 31.7 años (DE = 9.1); 2 mujeres y 33 varones. En 17 pacientes se utilizó la técnica a mano alzada (grupo 1) y a los 18 restantes la misma técnica asistida por guía (grupo 2). Ningún paciente presentó complicaciones neurovasculares y/o infecciosas. Con respecto a la posición del injerto coracoideo en el plano sagital, el análisis de la TC reveló una mejor posición por debajo del ecuador en la técnica a mano alzada, 16 de 17 injertos (94 %) se ubicaron dentro de los grupos A y B; mientras que de los injertos colocados con guía, 12 de 18 (67 %), estuvieron dentro de este grupo. Estas diferencias son estadísticamente significativas (p = 0.042) (Fig. 3 y Tabla 1).

En el plano axial, el uso de la guía (grupo 2) aseguró una posición del injerto “al ras” en 13 de 18 casos (72 %), en comparación con 9 de 17 casos (53 %) en el grupo mano alzada (grupo 1). Sin embargo, estas diferencias no resultan estadísticamente significativas (p = 0.238) (Fig. 4 y Tabla 2).

Las mediciones del ángulo α para el tornillo superior e inferior presentaron una distribución asimétrica hacia la derecha con presencia de valores atípicos en ambos grupos (Fig. 5 y Tabla 3) (p = 0.021 y p = 0.028, respectivamente). No se encontraron diferencias significativas entre los grupos 1 y 2 en cuanto al ángulo α medio para el tornillo superior (22.38° vs. 19.49°, p = 0.9342) ni para el inferior (19.63° vs. 20.77°, p = 0.2158) (Fig. 6 y Tabla 3).

Además, los tornillos sobreangulados (ángulo α >25°) para el tornillo superior ocurrieron en 10 casos (6 de 17 en grupo 1 y 4 de 18 en el grupo 2) y para el tornillo inferior en 8 casos (n = 4 en cada técnica) (ver Fig. 6). Se observaron mediciones atípicamente grandes para un paciente del grupo 1: α = 42.78° para el tornillo superior y α = 45.69° para el tornillo inferior; y para otro paciente del mismo grupo, resultó atípicamente grande el ángulo α = 41.38° para el tornillo superior. Para un paciente del grupo 2 se registró un ángulo α = 6.30° atípicamente pequeño para el tornillo inferior (ver Figs. 5 y 6).

Figura 3. Comparación de los grupos 1 (técnica clásica) y 2 (asistido por guía) respecto de la posición sagital del injerto. A = [80-100 %) por debajo del ecuador, B = [60-80 %), C = [40-60 %), D <40 %.

Figura 4. Comparación de los grupos 1 (técnica clásica) y 2 (asistido por guía) respecto de la posición axial del injerto.

Tabla 1. Pacientes clasificados según grupo de técnica quirúrgica y posición sagital del injerto coracoideo
Grupo tratamiento Posición sagital Total
A-B C-D
G1 16 1 17
% 94 6 100
G2 12 6 18
% 67 33 100
Total 28 7 35
% 80 20 100

Se evidencia una correlación lineal positiva y fuerte en el ángulo α entre los tornillos inferiores y superiores cuando se utiliza la técnica a mano alzada (rs =0.918, p < 0.0001) y una correlación lineal positiva y fuerte en el ángulo α entre tornillos inferiores y superiores cuando se utiliza la guía (rs = 0.827, p =0.014) (ver Fig. 6).

Las mediciones del ángulo de contacto entre el injerto y la superficie glenoidea indican una distribución asimétrica con presencia de valores atípicos en ambos grupos (p <0.010). Los resultados muestran que el contacto con la guía de perforación fue más adecuado. Con la técnica clásica, el ángulo medio fue de 5.39° vs. 3.56° con la guía. Sin embargo, estas diferencias no son estadísticamente significativas (p = 0.6779) (Tabla 4).

Tabla 2. Pacientes clasificados según grupo de técnica quirúrgica y posición axial del injerto coracoideo
Grupo tratamiento Posición axial Total
nivelado prominente
G1 9 8 17
% 53 47 100
G2 13 5 18
% 72 28 100
Total 22 13 35
% 63 37 100

Figura 5. Distribución de las mediciones del ángulo alfa para el tornillo superior (panel A) y para el tornillo inferior (panel B) según grupo de técnica quirúrgica

Se observaron diferencias, no significativas estadísticamente, entre los grupos respecto al tipo de contacto; en 7 casos del grupo 1 (41 %) el contacto fue completo (≤4°), en 8 casos (47 %) fue parcial (>4°) y en 2 casos no hubo contacto entre el injerto y la glena (12 %). Mientras que en el grupo 2, en 11 casos (61 %) el contacto resultó completo (≤4°), en 6 casos (33 %) fue incompleto (>4°) y en 1 caso (6 %) no hubo contacto (p = 0.477).

Un posterior análisis bivariado mostró que ningún otro factor (posición del injerto en el plano sagital o axial, dirección de los tornillos) está relacionado con un mejor o peor contacto del injerto. Las posiciones del injerto en el plano sagital y axial no están asociadas al tipo de contacto entre el injerto y la glena (p = 0.735 y p = 0.826, respectivamente).

Finalmente, no se evidencia una correlación lineal significativa entre el ángulo de contacto y los ángulos α del tornillo inferior (rs =0.232, p = 0.302) y del superior (rs = 0.135, p = 0.6497). Esto indica que la dirección de los tornillos no está relacionada con un mejor o peor contacto.

Figura 6. Diagrama de dispersión para el ángulo α entre tornillos inferiores y superiores según grupo de técnica quirúrgica.

Tabla 3. Medidas estadísticas de resumen para las mediciones del ángulo alfa para el tornillo superior e inferior por grupo de técnica quirúrgica
Variable Grupo Tamaño Media DE Mínimo Q1 Mediana Q3 Máximo RI
Ángulo α del tornillo superior (°) G1 17 23.72 8.30 13.12 17.50 22.38 26.02 42.78 8.52
G2 18 20.28 6.23 10.87 16.88 19.49 25.01 35.00 8.13
Ángulo α del tornillo inferior (°) G1 17 22.49 7.90 13.95 17.36 19.63 25.73 45.69 8.37
G2 18 21.57 7.99 6.30 18.44 20.77 26.20 36.87 7.76

DE: desvío estándar. Q1: cuartil 1. Q3: cuartil 3. RI: rango intercuartílico.

Tabla 4. Medidas estadísticas de resumen para las mediciones del ángulo de contacto del injerto coracoideo con la cavidad glenoidea por grupo de técnica quirúrgica
Variable Grupo Tamaño Media DE Mínimo Q1 Mediana Q3 Máximo RI
Ángulo de contacto (°) G1 15 5.61 4.71 0.54 2.20 5.39 7.00 17.37 4.80
G2 17 5.11 4.58 1.44 2.19 3.56 5.65 18.38 3.47

DE: desvío estándar. Q1: cuartil 1. Q3: cuartil 3. RI: rango intercuartílico.

DISCUSIÓN

El principal hallazgo de nuestro estudio fue que la técnica a mano alzada permitió un posicionamiento del injerto más adecuado en el plano sagital en comparación con la técnica asistida con guía. Sin embargo, el uso de la guía mostró una tendencia a favorecer un mayor contacto del injerto con la glena en el plano axial. En cuanto a la orientación de los tornillos, no se observaron diferencias relevantes entre ambas técnicas. En 2017, Barth y col.17 publicaron un estudio prospectivo comparativo entre ambas técnicas en el cual reportaron que la guía de perforación permitió una colocación más precisa y reproducible del injerto tanto en los planos sagital y axial. En su serie, el 85.2 % de los injertos del grupo con guía se posicionaron por debajo del ecuador glenoideo, frente al 63.6 % en el grupo con técnica a mano alzada. En el plano axial, el grupo asistido por guía, el injerto se posicionó de manera más precisa en los cuartiles inferior y medio de la superficie glenoidea. Los autores concluyeron que, si bien la guía mejora la precisión en la colocación del injerto en ambos planos, la técnica a mano alzada favorece un mejor contacto entre el injerto y la superficie glenoidea. Nuestros resultados difieren parcialmente con los hallazgos de Barth y col. ya que observamos un posicionamiento del injerto más adecuado en el plano sagital con la técnica a mano alzada. Consideramos que esto podría explicarse por una mejor visualización directa del reborde glenoideo anteroinferior, lo que permite seleccionar con mayor precisión el punto de perforación para el tornillo inferior. Por el contrario, el uso de la guía podría limitar la visualización de dicha zona, dificultando una colocación óptima.

Selvaraj y col.18 describieron recientemente una serie de 149 procedimientos de Latarjet realizados con técnica a mano alzada, con resultados funcionales satisfactorios y sin recurrencias a 2 años de seguimiento. Evaluaron la posición del injerto mediante TC en un subgrupo de 24 pacientes y reportaron un 83 % de injertos posicionados “al ras” con la glena y en todos los casos, al menos un 60 % del injerto por debajo del ecuador. Estos hallazgos respaldan la idea de que, cuando se realiza cuidadosamente, la técnica a mano alzada puede proporcionar una adecuada colocación del injerto con resultados clínicos favorables. Además, en este estudio informaron resultados funcionales excelentes a los 2 años, sin recurrencias y con mejoras significativas en los scores funcionales.

Nuestro estudio es solo un seguimiento tomográfico temprano que evalúa el posicionamiento del injerto coracoideo en relación a la glena, tanto en plano sagital como en el plano axial, comparando dos técnicas quirúrgicas. La adecuada colocación del injerto en el plano sagital puede presentar ventajas biomecánicas y mejorar la estabilidad glenohumeral.19 Por otro lado, en el plano axial, un injerto muy medializado podría generar inestabilidad recurrente, y un injerto lateralizado o protruido a nivel articular, artrosis glenohumeral futura. En ambos casos se traduciría en malos resultados clínicos y funcionales.7

F. Aim y col.7 describieron una serie de 34 pacientes a los que se les realizó cirugía de Latarjet con una guía específica. Se les indicó TC a 11 pacientes entre los 3 y 6 meses postoperatorios. El 100% de los injertos quedaron por debajo del ecuador de la glena en el plano sagital. En el plano axial, 8 quedaron “al ras” de la glena, 1 medial a más de 4 mm y 3 protruidos, pero a menos de 1 mm. Meyer y col.11 evaluaron 12 pacientes consecutivos operados de Latarjet abierta con la asistencia de guía específica. Los pacientes fueron estudiados con TC postoperatoria en el plano axial, 11 de los 12 presentaron un injerto congruente al reborde glenoideo. En el paciente restante el injerto quedó ligeramente lateral (<1 mm). El ángulo α promedio fue de 4.3°.

Otros autores evalúan la fijación del injerto mediante la técnica artroscópica. Casabianca y col.20 realizaron TC postoperatoria a 3 meses de Latarjet artroscópica utilizando las guías específicas para dicho procedimiento. No encontraron injertos protruidos lateralmente en el plano axial. El 32 % estuvo posicionado “al ras” de la glena, 38 % fue congruente y 30 %, medial, de los cuales, el 6 % fue notablemente medial. En el plano sagital evaluaron la posición del injerto midiendo en grados. Obtuvieron todos los injertos entre las horas 1:20 y 5:07. A su vez, Kraus y col.21 realizaron un estudio retrospectivo de 21 pacientes operados con Latarjet abierta asistida con guía y evaluados con TC solo en el plano sagital utilizando la misma técnica de mediación en grados. Reportaron que todos los injertos fueron posicionados en las horas 2:00 y 4:26.

Estas mediciones son equivalentes a la categoría A y B de nuestra evaluación, y resultan comparables con nuestros hallazgos.

La importancia en la posición del injerto en el plano axial se debe a que los injertos que protruyen 2 mm o más predisponen a la artrosis glenohumeral. Schmid y col.9 evaluaron la colocación del injerto en 49 pacientes postoperatorios de cirugía de Latarjet. Reportaron un 27 % (11 pacientes) con artrosis glenohumeral al final del seguimiento. Sin embargo, en 30 pacientes donde el injerto se encontró “al ras” con relación a la glena, no desarrollaron artrosis. A su vez, Mizuno y col.22 evaluaron sus resultados postoperatorios en pacientes con cirugía de Latarjet con técnica a mano alzada. Un 23.5 % de los pacientes desarrollaron artrosis a 20 años de seguimiento.

Nuestros resultados se basaron en la evaluación mediante TC, lo que es una fortaleza metodológica, dado que la literatura actual señala que la radiografía carece de precisión para valorar de manera adecuada la posición del injerto y el contacto con la glena tras el procedimiento de Latarjet. Clavert y col.23 demostraron en un estudio cadavérico que las radiografías glenohumeral anteroposterior y de perfil glenoideo presentan una elevada variabilidad en las mediciones y no permiten un análisis confiable del bloque óseo ni de los tornillos, siendo la TC el método necesario para un análisis preciso. Este hallazgo respalda la metodología de nuestro trabajo y refuerza la validez de los resultados obtenidos respecto de la posición del injerto.

Entre las principales fortalezas de nuestro trabajo se destacan el diseño prospectivo y aleatorizado, la homogeneidad del equipo quirúrgico y la evaluación tomográfica estandarizada. Como limitaciones, reconocemos el tamaño muestral reducido, el seguimiento tomográfico a corto plazo y la falta de evaluación de la reproducibilidad intraobservador e interobservador. Además, este estudio se centró exclusivamente en parámetros tomográficos, sin incluir una correlación con resultados clínicos y funcionales. Para futuras investigaciones, sería relevante considerar estos aspectos e incorporar un seguimiento clínico y funcional a largo plazo, con el fin de validar nuestros hallazgos y determinar su impacto en los resultados finales.

CONCLUSIONES

En este estudio prospectivo y aleatorizado, las técnicas de Latarjet-Patte a mano alzada y asistida con guía mostraron resultados comparables en el posicionamiento del injerto coracoideo y la orientación de los tornillos. La técnica a mano alzada logró un mejor posicionamiento en el plano sagital, mientras que la técnica asistida con guía mostró un mejor contacto del injerto en el plano axial, sin diferencias estadísticamente significativas entre ambas técnicas.


Contribuciones de autoría: Conceptualización, Supervisión, Administración de proyectos (AD). Metodología, Recursos (AD, MG). Software, Curación de datos (IE). Investigación, Escritura- Borrador original, Escritura- Revisión y edición (AD, MG, IE).
Conflictos de intereses: los autores declaran no tener conflictos de interés relacionados con este estudio.
Financiamiento: los autores declaran que no hubo financiamiento externo para la realización de este estudio.

REFERENCIAS

  1. Kazár B, Relovszky E. Prognosis of primary dislocation of the shoulder. Acta Orthop Scand. 1969;40(2):216-24 open_in_new
  2. Boileau P, Villalba M, Héry JY, Balg F, Ahrens P, Neyton L. Risk factors for recurrence of shoulder instability after arthroscopic Bankart repair. J Bone Joint Surg Am. 2006;88(8):1755-63 open_in_new
  3. Lynch JR, Clinton JM, Dewing CB, Warme WJ, Matsen FA 3rd. Treatment of osseous defects associated with anterior shoulder instability. J Shoulder Elbow Surg. 2009;18(2):317-28 open_in_new
  4. Latarjet M. Treatment of recurrent dislocation of the shoulder. Lyon Chir. 1954 Nov-Dec;49(8):994-7
  5. Patte D, Debeyre J. Luxations récidivantes de l’épaule. Encycl Med Chir Paris-Technique chirurgicale. Published online 1980
  6. Joshi MA, Young AA, Balestro JC, Walch G. The Latarjet-Patte procedure for recurrent anterior shoulder instability in contact athletes. Clin Sports Med. 2013;32(4):731-9 open_in_new
  7. Nourissat G, Delaroche C, Bouillet B, Doursounian L, Aim F. Optimization of bone-block positioning in the Bristow-Latarjet procedure: a biomechanical study. Orthop Traumatol Surg Res. 2014;100(5):509-13 open_in_new
  8. Hovelius L, Sandström B, Olofsson A, Svensson O, Rahme H. The effect of capsular repair, bone block healing, and position on the results of the Bristow-Latarjet procedure (study III): long-term follow-up in 319 shoulders. J Shoulder Elbow Surg. 2012;21(5):647-60 open_in_new
  9. Schmid SL, Farshad M, Catanzaro S, Gerber C. The Latarjet procedure for the treatment of recurrence of anterior instability of the shoulder after operative repair: a retrospective case series of forty-nine consecutive patients. J Bone Joint Surg Am. 2012 6;94(11):e75 open_in_new
  10. Lädermann A, Denard PJ, Burkhart SS. Injury of the suprascapular nerve during latarjet procedure: an anatomic study. Arthroscopy. 2012;28(3):316-21 open_in_new
  11. Meyer DC, Moor BK, Gerber C, Ek ET. Accurate coracoid graft placement through use of a drill guide for the Latarjet procedure. J Shoulder Elbow Surg. 2013;22(5):701-8 open_in_new
  12. Bhatia S, Frank RM, Ghodadra NS, et al. The outcomes and surgical techniques of the latarjet procedure. Arthroscopy. 2014;30(2):227-35 open_in_new
  13. Beranger JS, Klouche S, Bauer T, Demoures T, Hardy P. Anterior shoulder stabilization by Bristow-Latarjet procedure in athletes: return-to-sport and functional outcomes at minimum 2-year follow-up. Eur J Orthop Surg Traumatol. 2016;26(3):277-82 open_in_new
  14. Cowling PD, Akhtar MA, Liow RY. What is a Bristow-Latarjet procedure? A review of the described operative techniques and outcomes. Bone Joint J. 2016;98-B(9):1208-14 open_in_new
  15. Klatte TO, Hartel MJ, Weiser L, et al. Accuracy of Latarjet graft and screw position after using novel drill guide. Eur J Trauma Emerg Surg. 2017;43(5):645-649 open_in_new
  16. Barth J, Neyton L, Métais P, et al. Is the two-dimensional computed tomography scan analysis reliable for coracoid graft positioning in Latarjet procedures? J Shoulder Elbow Surg. 2017;26(8):e237-e242 open_in_new
  17. Barth J, Boutsiadis A, Neyton L, Lafosse L, Walch G. Can a Drill Guide Improve the Coracoid Graft Placement During the Latarjet Procedure? A Prospective Comparative Study With the Freehand Technique. Orthop J Sports Med. 2017 20;5(10):2325967117734218 open_in_new
  18. Selvaraj MK, Das TK, Martin NJ, Sundar MS, Rajan DV. Open Classic Latarjet Procedure Performed Using Freehand TechniqueSurgical Technique and Outcome. Indian J Orthop. 2021;55(3):723-727 open_in_new
  19. Ganokroj P, Dey Hazra M, Dey Hazra RO, et al. Biomechanical Evaluation of the 2 Different Levels of Coracoid Graft Positions in the Latarjet Procedure for Anterior Shoulder Instability. Orthop J Sports Med. 2023;11(12):23259671231202533 open_in_new
  20. Casabianca L, Gerometta A, Massein A, et al. Graft position and fusion rate following arthroscopic Latarjet. Knee Surg Sports Traumatol Arthrosc. 2016;24(2):507-12 open_in_new
  21. Kraus TM, Martetschläger F, Graveleau N, et al. CT-based quantitative assessment of the surface size and en-face position of the coracoid block post-Latarjet procedure. Arch Orthop Trauma Surg. 2013;133(11):1543-8 open_in_new
  22. Mizuno N, Denard PJ, Raiss P, Melis B, Walch G. Long-term results of the Latarjet procedure for anterior instability of the shoulder. J Shoulder Elbow Surg. 2014;23(11):1691-9 open_in_new
  23. Clavert P, Koch G, Neyton L, et al. Is anterior glenoid bone block position reliably assessed by standard radiography? A cadáver study. Orthop Traumatol Surg Res. 2016;102(8S):S281-S285 open_in_new