RESUMEN


Introducción

Las fracturas por hundimiento del platillo tibial posterolateral con cortical posterior íntegra han sido escasamente estudiadas en la literatura.

Objetivo

Evaluar y caracterizar los patrones morfológicos de las fracturas por hundimiento del platillo tibial posterolateral con cortical posterior íntegra mediante tomografía computada (TAC).

Materiales y métodos

Evaluamos en forma retrospectiva las imágenes de tomografía computada (TAC) de 33 pacientes, 23 hombres y 10 mujeres, con edad media de 44.9 años (rango 19-67) con fractura por depresión de la meseta tibial posterolateral, con cortical posterior íntegra. Se analizó el tipo y profundidad del hundimiento o inclinación del área afectada.

Resultados

Fueron identificadas 2 variantes morfológicas: tipo A, hundimiento circunscripto de la superficie articular, y tipo B, declinación posterior por impactación del hueso esponjoso. Las mediciones promedio mostraron un área de hundimiento del 35 % (rango 20-47 %) de la superficie articular lateral, una profundidad media de 2.50 mm y un ángulo de declinación promedio de 29.5°.

Conclusión

Este estudio distinguió dos tipos de depresión posterolateral del platillo tibial con cortical posterior íntegra. Su identificación mediante TAC proporcionó criterios objetivos que pueden mejorar la planificación y reducción quirúrgica, optimizando los resultados anatómicos y funcionales de la rodilla.


Palabras clave: Fractura depresión; Platillo tibial posterolateral; Cortical posterior sana.

Nivel de evidencia: IV. Estudio de Cohorte Retrospectivo..



Posterolateral Tibial Plateau Depression Fracture with Intact Posterior Cortex: a Morphological Ct Analysis



ABSTRACT


Introduction

Posterolateral tibial plateau depression fractures with an intact posterior cortex have been scarcely evaluated in the literature.

Objective

To evaluate and characterize the morphological patterns of posterolateral tibial plateau depression fractures with an intact posterior cortex using computed tomography (CT).

Methods

We retrospectively evaluated the computed tomography (CT) scans of 33 patients (23 males and 10 females, mean age 44.9 years [range, 19–67]) with posterolateral tibial plateau depression fractures and an intact posterior cortex. The type and depth of the depression or slope of the affected area were analyzed.

Results

2 morphological variants were identified: type A, circumscribed depression of the articular surface, and type B, posterior slope due to cancellous bone impaction. Mean measurements showed a depression area of 35% (range 20-47%) of the lateral articular surface, an average depth of 2.50 mm, and a mean posterior slope angle of 29.5°.

Conclusion

This study distinguished two types of posterolateral tibial plateau depression fractures with an intact posterior cortex. Their identification by CT provided objective criteria that can improve surgical planning and reduction, thereby optimizing the anatomical and functional outcomes of the knee.


Key words: Depression fracture; Posterolateral tibial plateau; Intact posterior cortex.

Level of evidence: IV. Retrospective Cohort Study..



INTRODUCCIÓN

Las fracturas de la meseta tibial son relativamente poco frecuentes y representan aproximadamente el 1 % de todas las fracturas, y de ellas, al menos el 7 % ocurren en la región posterolateral1-4. Estudios recientes muestran un aumento en su diagnóstico debido a la evolución tecnológica de las técnicas de imágenes5-6.

Por una carga axial de baja a mediana energía, con la rodilla en valgo, flexión ≥70° y rotación interna, el platillo tibial tiende a la subluxación anterior y el cóndilo femoral impacta en la región posterolateral, dando la depresión característica7,8 (Fig. 1). Estas lesiones generan inestabilidad rotacional en la rodilla, con posible deficiencia del LCA, por lo cual termina lesionándose. Esto resalta la relevancia clínica de su detección temprana y del abordaje quirúrgico oportuno9,10.

El esquema organizativo de las fracturas de Schatzker, el más utilizado desde su descripción en 1974, se basa en una radiografía anteroposterior11. El sistema de clasificación AO / OTA la ubica en el ítem 41-B-2.1.u12 (Fig. 2). Luo, de acuerdo con su teoría de tres columnas, la definió como una fractura de columna cero5. En el 2018, Schatzker y cols. actualizaron su clasificación con la tomografía computada, nombrándola tipo III P13. (Fig. 3). Zhang,14 en 2018, publicó un artículo diferenciando 2 subtipos de fracturas por hundimientos del platillo tibial posterolateral, describiendo sus morfologías, pero sin medición tomográfica.

Estas clasificaciones no aclaran las características morfológicas detalladas de la fractura por hundimiento del platillo tibial posterolateral con la cortical posterior íntegra, pero sí recomiendan su resolución quirúrgica si hay depresión articular ≥2-3 mm, ensanchamiento del platillo ≥5 mm o desviación del eje en valgo.

La pendiente tibial posterior, típicamente de 9°, es fundamental para la cinemática normal de la rodilla y la estabilidad sagital. Por lo tanto, la restauración anatómica de esta inclinación es crucial para evitar una mayor tensión en los estabilizadores estáticos y dinámicos de la rodilla, los meniscos y la superficie articular posterior14.

El objetivo de este estudio fue evaluar y caracterizar los patrones morfológicos de las fracturas por hundimiento del platillo tibial posterolateral con cortical posterior íntegra mediante tomografía computada (TAC).



Figura 1. Representación esquemática de la rodilla como un sistema articulado que muestra el desplazamiento posterior del punto de contacto tibiofemoral con la flexión8.

MATERIALES Y MÉTODOS

Se analizaron retrospectivamente 33 pacientes con fracturas del platillo tibial posterolateral con preservación de la cortical posterior, seleccionados de un total de 243 pacientes con fracturas de platillo tibial tratados en nuestra institución entre enero de 2017 y diciembre de 2024. El protocolo de este estudio fue aprobado por el Comité de Ética de nuestra institución y todos los pacientes firmaron un consentimiento informado aceptando su participación.

Fueron criterios de inclusión: pacientes mayores de 18 años con fractura por depresión del platillo tibial posterolateral con indemnidad cortical posterior, aislada (Schatzker III P.) o combinada con fracturas del platillo medial (V PL+M), o de las espinas tibiales, escalón articular ≥1.5 mm, estudiadas con radiografías (anteroposterior y perfil), tomografía axial computada tridimensional y resonancia magnética. Los criterios de exclusión fueron: fracturas de la región posterolateral cizallantes, expuestas y conminutas.

Valoración de los patrones fracturarios

Para la evaluación, descripción y medición de los patrones fracturarios se utilizaron las 3 vistas (axial, coronal y sagital) de la tomografía computada. Las mediciones fueron realizadas con el sistema operativo My Vue (Phillips) y analizadas, de manera independiente y cegada respecto a los datos clínicos y quirúrgicos, por dos investigadores. En los casos de discrepancia, se alcanzó consenso tras una nueva revisión conjunta.

Fueron calculados el porcentaje del área de superficie articular comprometida (PASAC) del cuadrante posterolateral, (cálculo entre el área articular del platillo tibial lateral sano y lesionado); el tipo de depresión (TP) y la profundidad (PF) (distancia entre la superficie articular normal y la superficie más deprimida) o el ángulo de declinación (AD) (ángulo resultante entre una línea trazada en la superficie articular normal y otra línea en la superficie articular inclinada).


RESULTADOS

De los 243 pacientes evaluados por fracturas del platillo tibial, 33 casos cumplieron los criterios de selección (14 %), con 23 hombres y 10 mujeres, con una edad promedio de 44.9 años (rango 19-67). Predominó la lesión en la rodilla derecha (18/15). En 15 pacientes fueron accidentes de tránsito (moto). Según la clasificación actual de Schatzker y cols., 26 eran tipo III P. y 7 eran tipo V PL+M; según la clasificación de AO/OTA, 26 pacientes correspondían a 4.1-B.2.1.u. (Tabla 1).

Resultados imagenológicos

Mediante la observación de los diferentes cortes tomográficos hallamos dos variantes de depresión (TP) de la superficie articular: tipo A, (hundimiento) donde hay un hundimiento circunscripto del platillo en 18 pacientes (66 % en nuestros casos) (Fig. 4), y tipo B, (declinación) impactación del hueso esponjoso con una inclinación hacia posterior del relieve articular en 15 pacientes (Fig. 5).

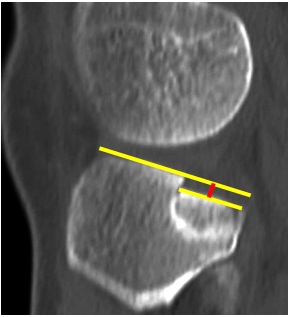
En la Tabla 2 se exponen las mediciones tomográficas de los pacientes estudiados, donde se obtuvo en promedio un PASAC 35 % (rango 20- 47 %) (Fig. 6), PF 2.50 mm (rango 1.7-3.8) y AD 29.5° (rango 24-35°) (Fig. 7).



Figura 2. Clasificación AO / OTA tibia proximal, fractura parcial articular, fractura por depresión (41B2) , subgrupo platillo lateral, posterolateral (u). 41B2.1.u.11


Figura 3. Clasificación de Schatzker y cols. Cuadrantes anatómicos del platillo tibial. El ecuador virtual, representado en naranja, divide el platillo tibial en dos mitades: anterior y posterior. Dado que el platillo tibial tiene dos superficies articulares, lateral y medial, el ecuador delimita cuatro cuadrantes anatómicos: AL: anterolateral; AM: anteromedial; PL: posterolateral; PM: posteromedial. Las fracturas por hundimiento posterolaterales se denominan tipo III P.12


Tabla 1. Datos demográficos y clínicos.

DISCUSIÓN

Las fracturas por hundimiento del platillo tibial posterolateral con cortical posterior íntegra constituyen un subtipo poco caracterizado en las clasificaciones tradicionales. En nuestra serie de 33 pacientes identificamos dos morfotipos mediante TAC: tipo A (hundimiento circunscripto) y tipo B (declinación con aumento de pendiente posterior), con PF promedio 2.5 mm, PASAC 35 % y AD 29.5°.

Esta diferenciación morfológica coincide con lo señalado por otros autores que han destacado la heterogeneidad de los patrones de fractura-hundimiento del platillo tibial posterolateral. La identificación de estos subtipos constituye un aporte novedoso al ofrecer criterios objetivos que permiten anticipar su repercusión funcional y orientar la planificación clínica, incluso antes de decidir la intervención quirúrgica.

El tipo A (hundimiento), identificado como el más frecuente en nuestra cohorte, guarda correspondencia con lo descripto por Zhang et al. 14 y Zhu et al. 15 en sus clasificaciones del patrón en flexión-valgo. Ambos autores señalaron que, aun con la cortical posterior indemne, podía observarse un hundimiento contenido de la superficie articular que afectara la congruencia funcional de la rodilla. Nuestros hallazgos refuerzan esta observación, ya que el reconocimiento oportuno de este patrón permitiría prevenir síntomas residuales en flexión y un potencial compromiso de la estabilidad funcional en caso de no corregirse la depresión.

El tipo B (declinación) representa un patrón caracterizado por una mayor inclinación y colapso del hueso subcondral posterolateral. Este ha sido descripto por Zhang et al. 14 como subtipo “esponjoso difuso” y por Giordano et al. 16 en su clasificación de split, depression y rim-crush.

Estos autores destacaron que las depresiones extensas se asociaban a una alteración más significativa de la congruencia articular y a una mayor probabilidad de lesiones asociadas. Nuestros hallazgos son concordantes con la literatura reciente (Wang et al. 17 y Feng et al. 18) que demuestra una fuerte correlación entre depresiones posterolaterales amplias y la presencia de lesiones ligamentarias o meniscales concomitantes.

Las revisiones de los trabajos presentados por O’Neill et al. 19 y Liu et al. 20 subrayaron que las fracturas de la columna posterolateral con la cortical posterior indemne constituían un grupo heterogéneo, en el que la diferenciación morfológica resultaba clave para predecir la evolución. Nuestros hallazgos se alinean con esta perspectiva al demostrar que, aun en ausencia de cizallamiento de la pared posterior, la depresión articular puede tener relevancia clínica, y su adecuada identificación aporta información valiosa para la planificación terapéutica y el manejo del paciente.

La comparación entre nuestro estudio y otros trabajos se reporta en la Tabla 3.

Nuestro estudio presentó ciertas limitaciones que deben ser tenidas en cuenta al interpretar los resultados.

En primer lugar, el tamaño muestral fue reducido (33 pacientes), aunque comparable al de otras series publicadas, lo cual limitó la potencia estadística y restringió la generalización de los hallazgos a poblaciones más amplias. En segundo lugar, la clasificación utilizada se centró en dos patrones principales (hundimiento y declinación), lo que otorgó simplicidad y aplicabilidad clínica, pero podría no capturar plenamente la heterogeneidad de las fracturas reportada en otras cohortes internacionales.

Futuros estudios deberán centrarse en validar la clasificación propuesta en cohortes más amplias y multicéntricas, con inclusión de análisis de reproducibilidad inter e intraobservador, que permitan confirmar su aplicabilidad clínica.



Figura 4. Hundimiento. La depresión pura de la superficie articular se limita al cuadrante posterolateral del platillo tibial.


Figura 5. Declinación. El colapso posterolateral provoca un aumento significativo de la pendiente posterior del platillo tibial.


Tabla 2. Medición tomográfica de las fracturas por hundimientos del platillo posterolateral.


Figura 6. PASAC: porcentaje del área de superficie articular comprometida.


Figura 7. AD: ángulo de declinación.


Tabla 3. Cuadro comparativo de estudios de fracturas por hundimiento del platillo tibail posterolateral.

CONCLUSION

Este estudio distinguió dos tipos de depresión posterolateral del platillo tibial con cortical posterior íntegra. Su identificación mediante TAC proporcionó criterios objetivos que pueden mejorar la planificación y reducción quirúrgica, optimizando los resultados anatómicos y funcionales de la rodilla.