Método de planeamiento de osteotomías alrededor de la rodilla en el plano coronal
Juan Guillermo Jaimes Trillos,1 John Byron Alzate Arboleda,2 Diego Arturo Velásquez Ramírez,3 Carlos Augusto Rodríguez Mora,4 Rubén Darío Guzmán Benedek,5 Juan Felipe Fernández Lopera,2 Santiago Jaramillo Hurtado,6 Victoria Eugenia Restrepo Noriega7
1. Universidad Pontificia Bolivariana (UPB), Medellín, Antioquia, Colombia
2. Hospital Pablo Tobón Uribe (HPTU), Medellín, Antioquia, Colombia
3. Clínica Medellín, Medellín, Antioquia, Colombia
4. Clínica Universitaria Bolivariana, Medellín, Antioquia, Colombia
5. Clínica el Rosario, Medellín, Antioquia, Colombia
6. Universidad CES, Medellín, Antioquia, Colombia
7. Universidad Autónoma de Bucaramanga (UNAB), Bucamaranga, Colombia
RESUMEN
Las deformidades angulares de los miembros inferiores en el plano coronal son una alteración en la alineación causada por la pérdida de colinealidad de la cadera, rodilla y el tobillo, y se caracterizan por producir sobrecarga más allá de lo tolerable en cada uno de los compartimentos femorotibiales.
Las osteotomías son procedimientos quirúrgicos que tratan estas deformidades, principalmente, retirando carga de un compartimento enfermo a uno más sano, dando una terapia puente antes de realizar un reemplazo articular. En las últimas décadas se han popularizado ofreciendo un manejo para los pacientes jóvenes y activos para los cuales la indicación quirúrgica no es la artroplastia.
El éxito de la osteotomía depende de un adecuado planeamiento, el que inicia desde encontrar al paciente ideal y que esté dentro de las indicaciones. El uso de la radiografía panorámica, y la evaluación de las diferentes medidas que podemos obtener de esta imagen, nos lleva a identificar el origen de la deformidad, el grado de corrección que amerita para tener un balance articular adecuado y a planear dónde se debe realizar la osteotomía, incluido exactamente lo que se debe hacer en la cirugía para obtener resultados esperados.
El objetivo del presente trabajo es describir un método preciso, reproducible y al alcance del cirujano para un adecuado planeamiento y un resultado postoperatorio exitoso.
Palabras clave: Osteotomía; Rodilla; Procedimiento Preoperatorio; Alineación; Cirugía
ABSTRACT
Angular deformities of the lower limbs in the coronal plane are an alteration in the alignment, caused by the loss of collinearity of the hip, knee and ankle, characterized by producing in one of the tibiofemoral compartments.
Osteotomies are surgical procedures that treat these deformities, mainly by removing load from a diseased compartment to a healthier one, giving bridging therapy before performing an arthroplasty, in recent decades they have become popular, offering management for patients young and active in whom the surgical indication is not arthroplasty.
The success of the osteotomy depends on adequate planning, it starts from finding the ideal patient and that it is within the indications, the use of panoramic radiography and the evaluation of the different measurements that we can obtain from this image, leads us to identify the origin of the deformity, the degree of correction that it requires to have an adequate joint balance, and to plan where the osteotomy should be performed, including exactly what should be done in the surgery to obtain expected results.
In this writing we describe a precise, reproducible method and within the reach of the surgeon for adequate planning and seeking a successful surgery as an end.
Keywords: Osteotomy; Knee; Preoperative Procedure; Alignment; Surgery
INTRODUCCIÓN
Las deformidades angulares de las extremidades inferiores resultan de una pérdida de la colinealidad de la cadera, rodilla y tobillo. Esta mala alineación puede deberse a una alteración del fémur y/o tibia en sus segmentos metafisario proximal, diafisario o metafisario distal. A nivel de la articulación de la rodilla resulta en una distribución anormal de la carga, lo cual a su vez deriva en un desgaste prematuro.1,2 Las deformidades que más frecuentemente se asocian a la aparición de artrosis en los compartimentos medial y lateral de la rodilla son las del plano coronal.1,3,4
La historia de las osteotomías comienza en el siglo XVI, pero ha tenido una evolución significativa entre los siglos XIX y XXI hasta convertirse en el tratamiento de referencia para la artrosis unicompartimental de rodilla con el desarrollo de nuevas técnicas que han limitado la selección de los pacientes, permitiendo un grado de corrección más fiable.5 Las osteotomías alrededor de la rodilla se consideran un procedimiento seguro y cuyas complicaciones mayores son raras.6
La osteotomía consiste en un corte óseo controlado en el sitio de la deformidad con la intención de corregir y mejorar el balance articular cambiando la carga mecánica de un compartimento articular enfermo a uno más sano.1 Uno de los objetivos principales es el de prolongar la sobrevida de la articulación diez a quince años más cuando el paciente está bien seleccionado (sobrevidas de la articulación menores a diez años en pacientes sin indicación).7,8
El principio fundamental que permite una corrección adecuada del eje coronal es realizar la osteotomía en el segmento óseo que presenta la deformidad y para ello es indispensable la medición angular adecuada del componente femoral distal, tibial proximal e intraarticular.9
INDICACIONES
Cuando nos enfrentamos a un paciente candidato a una osteotomía, deben ser tenidos en cuenta los objetivos de dicho procedimiento: alivio del dolor, mejorar la función articular, retrasar la progresión de la artrosis y, posteriormente, la necesidad de un reemplazo articular.5,8
Al tener claros los objetivos, es necesario mencionar las indicaciones, y en este aspecto varios autores las enfocan sólo en la osteotomía tibial alta (high tibial osteotomy - HTO), sin embargo, este trabajo busca ampliar la revisión a la osteotomía femoral distal (distal femoral osteotomy - DFO) y las osteotomías de doble nivel (double level osteotomy - DLO).
Según Noyes, las indicaciones para HTO son:7
Estas son para lograr una alineación normal antes de trasplante meniscal medial, tratamiento de restauración de cartílago articular, reconstrucción de ligamento cruzado anterior (RLCA) y esquina posterolateral en manejo de inestabilidad en doble y triple varo y pacientes ≤50 años, atléticamente activos, que desean mantener un nivel razonable de actividades atléticas.
Por otro lado, autores como Ferrera y Menetrey consideran al paciente ideal para HTO a aquel que cumpla con las siguientes condiciones:5 paciente joven (<65 años), moderadamente activo, artrosis medial aislada, mala alineación <15°, ángulo varo del hueso tibial >5° (tibial bone varus angle - TBVA) y rango mínimo de movimiento >90° de flexión.
El ángulo varo del hueso tibial (TBVA) (ángulo resultante del eje epifisiario y el eje mecánico de la tibia) es un factor pronóstico y una indicación de la HTO con buenos resultados cuando su valor es >5°, mientras que el TBVA >5° se convierte en una indicación de HTO y en un factor de pobre pronóstico cuando se encuentra cercano a 0°.4,10
Según estos dos autores, se consideran pacientes no aptos para HTO aquellos con índice de masa corporal (IMC) >30 y pacientes con artrosis bicompartimental con antecedente de meniscectomía lateral.5
Cabe mencionar que hay algunas variables que, si bien no son una contraindicación absoluta para el procedimiento, sí juegan un papel fundamental en los resultados postoperatorios, como es el caso del tabaquismo, el cual no lo contraindica, pero incrementa el riesgo de retardo en la consolidación y puede ser causa de no unión. Por otra parte, la inestabilidad solía ser una contraindicación, pero actualmente se puede considerar un procedimiento asociado a la corrección de la inestabilidad, en casos de revisión de reconstrucción de ligamento cruzado anterior y deformidades en varo.5,11-13
Adicionalmente, las indicaciones para osteotomía femoral distal (DFO) son:5
Si bien la HTO está indicada para las deformidades en varo, cuando este es muy severo, se debe tener presente que el origen de esta alteración en el plano coronal puede estar causado por deformidad en la tibia, en el fémur o en ambos, lo que hace pensar que la corrección sólo en la tibia, y más aún cuando es una muy grande, puede causar un problema adicional con la modificación de la oblicuidad de la línea articular.5
Teniendo en cuenta este escenario, la solución a este problema es la osteotomía de doble nivel (DLO), la cual responde a una corrección mayor y con descarga del compartimento afectado sin alteración de la línea articular a grados no fisiológicos. Son sus indicaciones:5,15
Según los estudios, la edad ideal para realizar una osteotomía alrededor de la rodilla tiene un rango que va desde cuarenta a sesenta y cinco años, sin embargo, el consenso de “Osteotomy Around the Painful Degenerative Varus Knee” de la European Society for Sports Traumatology, Knee Surgery and Arthroscopy (ESSKA) menciona con evidencia grado C que la edad no es un punto de corte exacto para la indicación y tiene que ver más con el estado general del paciente, no obstante, es evidente que aquellos más jóvenes (menores de cincuenta y cinco años) tienen mejores resultados y una tasa de supervivencia mayor.16
El IMC no tiene un valor de corte, pero IMC >30 o IMC <20, están asociados a mayores complicaciones y un IMC >35 debe ser valorado individualmente por los elevados riesgos.11,16
El grado de condropatía de los otros compartimentos es muy importante en el momento de realizar el procedimiento y este se contraindica cuando el compartimento en el cual se va a poner la carga tiene una osteoartrosis Kellgren-Lawrence 3 o 4, ya que afecta el resultado final del tratamiento. La artrosis femororrotuliana, independiente de la forma de diagnosticarla, sea en radiografía (Rx), resonancia magnética o artroscopía, no se considera una contraindicación absoluta para realizar la osteotomía.16 Si bien el planeamiento quirúrgico puede diferir si se obtienen radiografías con carga o en decúbito supino,17 el estudio inicial de elección es la radiografía panorámica de miembros inferiores, la cual es fundamental para realizar una evaluación de las deformidades en el plano coronal y es el punto de partida en el planeamiento de las osteotomías.
La imagen adecuada debe permitir visualizar las articulaciones de la cadera, rodilla y tobillo,1,3 adicionalmente, en el plano frontal se utilizan las líneas del eje tanto anatómico como mecánico para la planificación, estas miden la cantidad de corrección requerida para realizar distribuciones de la carga tibiofemoral sin producir alteraciones en la inclinación tibial.7,18
El resultado de una osteotomía dependerá fuertemente de una óptima planificación preoperatoria y es necesario evitar la recurrencia de la angulación por una corrección subóptima o artrosis del compartimento femorotibial por sobrecorrección.9
A continuación, se describe un método de planeamiento preoperatorio por pasos para la corrección de deformidades angulares en el plano coronal. Este es utilizado en la práctica diaria y busca realizar correcciones de una manera exacta, evitando así recurrencias y posibles reintervenciones.
Estudio radiológico
Después de verificar que la radiografía panorámica tiene una técnica adecuada en la toma, se usa el programa Bone Ninja Versión 5.0, en el cual se calibran las medidas para evitar errores en las mediciones.19,20
Según Paley,18 la imagen adecuada debe permitir la visualización de la cadera, rodilla y tobillo, con la rótula centrada en los cóndilos femorales, sin embargo, cuando hay un valgo severo, esta referencia se pierde y se debe tomar el eje de flexoextensión de la rodilla. Adicionalmente, la discrepancia de longitud se debe corregir, y la rotación máxima permitida para no alterar los valores es de 5° (figs. 1 y 2).

Figura 1: Radiografía panorámica adecuada con los parámetros de Paley para realizar un test de mal alineamiento: la línea roja evidencia la adecuada altura de las alas ilíacas, se observan las tres articulaciones; el círculo verde señala el centro de las rótulas posicionadas entres los cóndilos y el círculo punteado azul señala las guías de calibración a 5 cm, punto importante para las mediciones.

Figura 2: Radiografía panorámica no adecuada: la línea roja señala la altura del ala ilíaca derecha y en la línea verde el ala ilíaca izquierda, no se corrigió la discrepancia de longitud por el acortamiento del miembro inferior izquierdo; el punto verde señala el centro de la rótula, la cual en la rodilla izquierda no está centrada en los cóndilos femorales.
Test de mal alineamiento
Lo siguiente es realizar el test de mal alineamiento, el cual consta de una serie de pasos que nos ayudan a identificar dónde está el origen de la deformidad.
El paso 0 consiste en trazar una línea que va del centro articular de la cadera al centro articular del tobillo, recibe el nombre de “eje mecánico del miembro inferior” y el resultado fisiológico de esta medición es una línea que debe cruzar el centro articular de la rodilla con un rango de normalidad de desviación de 3 mm hacia medial o lateral.10 Al realizar la medición de la desviación, esta medida va a recibir el nombre de desviación del eje mecánico (MAD, por su nombre en inglés), según el cual, en caso de superar los 3 mm hacia medial, se trata de una deformidad en varo con un aumento de la carga en el compartimento medial de la rodilla; cuando el MAD se encuentra superior a los 3 mm laterales, es una deformidad en valgo y aumenta la carga del compartimento lateral de la rodilla21 (fig. 3).

Figura 3: Test de mal alineamiento: las líneas rojas corresponden al eje mecánico de los miembros inferiores, se marca el centro articular de la rodilla y se observa la desviación del eje mecánico o MAD derecho hacia medial de 24 mm, y en el izquierdo de 31 mm hacia medial, se evidencia una alteración de este valor con una deformidad en varo bilateral, con mayor predominio del lado izquierdo.
Noyes7 considera una mala alineación en varo cuando la línea de soporte de peso (weight-bearing line - WBL) cruza menos del 50% del ancho transversal desde medial hacia lateral de los platillos tibiales.7 Pero para otros autores, como Lobbenhoffer et al.,10 esta línea se conoce como eje mecánico de la pierna, o línea de Mikulicz, que conecta el centro de la cabeza femoral y el centro de la articulación del tobillo, considerada como fisiológica cuando se encuentra en promedio 4 mm (± 2 mm) medial al centro de la articulación de la rodilla. De esta manera, si el eje mecánico pasa lateral o medial a estos puntos, encontramos una deformidad en valgo o en varo, respectivamente (Tabla 1).
TABLA 1. VALORES DE REFERENCIA PARA MAL ALINEAMIENTO SEGÚN AUTORES EN LA LITERATURA
Autor |
Nombre de la medición |
Valores normales |
Interpretación |
Paley18 |
Eje mecánico del miembro inferior |
Desviación del eje mecánico MAD (8 ± 7 mm) medial |
>15 mm medial (varo) |
Herzenberg21 |
Eje mecánico del miembro inferior |
Desviación del eje mecánico MAD (0 ± 3 mm) |
>3 mm hacia medial (varo) |
Noyes7 |
Línea de soporte de peso |
Línea de soporte de peso WBL (50%) |
<50% (varo) |
Lobenhoffer10 |
Línea de Mikulicz o eje mecánico de la pierna |
4 (± 2) mm medial |
>6 mm medial (varo) |
Además, para determinar una deformidad y su posible corrección también se usa el test de mal alineamiento de Paley:10

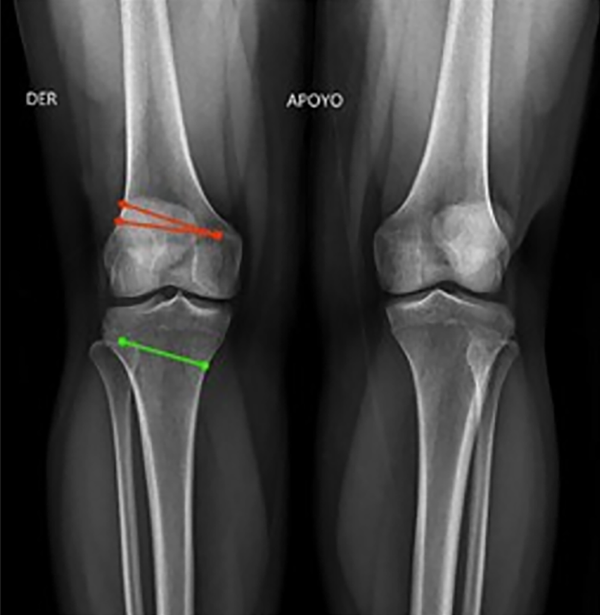
Figura 4: Ángulo femoral distal lateral mecánico (mLFDA): mLDFA y MPTA bilateral, se observa del lado izquierdo una deformidad en varo del fémur 92° (normal 85-90°) y la tibia 84° (normal 85-90°). Lado derecho con una deformidad en varo del fémur 92° y la tibia 87° en valor normal.

Figura 5: JLCA bilateral de 2° (valor normal 0-2°).
El test de mal alineamiento continúa con dos anexos: el 1 se realiza para descartar la subluxación de la articulación de la rodilla y el anexo 2 evalúa la alineación condilar.

Figura 6: Se observan el punto central de la línea de orientación articular, en rojo el de fémur distal y en verde de tibia proximal, y la línea azul muestra que el anexo de subluxación está en 0 mm (rango normal: 0-3 mm).

Figura 7: Se observa en líneas roja y verde la línea articular de cada cóndilo femoral y cada platillo tibial, se evidencia que son colineales, por lo cual no hay una incongruencia articular.
Una vez obtenidos estos ángulos y distancias se puede identificar el origen de la, o las, deformidades, y comienza así el planeamiento de la osteotomía y cálculo de la corrección para realizar las distribuciones de la carga tibiofemoral sin producir alteraciones en la articulación.7
Para definir la distribución de la carga a realizar se debe evaluar la indicación de la osteotomía y el estado del cartílago. Fujisawa define la distribución en los platillos tibiales como 0% y 100%, 0% hacia el borde medial o lateral y 100% en el centro de la rodilla.22 En condiciones fisiológicas, cuando la línea de carga pasa por el centro de la rodilla, el porcentaje de carga en los platillos tibiales está distribuido 60% medial y 40% lateral.10 El punto al cual se debe llevar la corrección en una osteotomía valguizante es un 30 a 40% en el compartimento lateral, medido desde el centro hacia el borde del platillo lateral.22-24
Otros autores, como Noyes, toman todo el ancho de los platillos tibiales e indican que se debe ubicar en un 62%, punto cercano a la pendiente descendente de la espina tibial lateral, cuando hay daño articular femorotibial lateral y el propósito es descargar el compartimento medial y transferirlo al lateral. La recomendación de Miniaci es transferir la carga al 60-70% del ancho total. Se debe tener presente que Fujisawa usa el ancho de cada platillo tibial y los otros dos autores usan el total de los dos platillos tibiales.3,7
Se elige la corrección al 50 o 54% cuando no hay compromiso articular medial y el objetivo es ubicar la línea de carga neutra, esta es la indicación para casos de osteotomía en ausencia de procesos artríticos, sino por cirugía complementaria a reconstrucción ligamentaria, por ejemplo, una revisión de reconstrucción de ligamento cruzado anterior asociado a un varo primario con un empuje lateral o lateral thrust.7
También se ha descripto la corrección de acuerdo al grado de desgaste condral en el compartimento medial, el objetivo del eje mecánico es pasar por 10 al 15% hacia lateral desde el centro de los platillos tibiales para pacientes que han perdido un tercio del cartílago, 20-25% si dos tercios del cartílago medial se pierden, y en un 30-35% si el cartílago medial está completamente perdido. Cuando la artrosis es en el compartimento lateral con una deformidad en valgo, el objetivo de la corrección es 0-20% medial, dependiendo la cantidad de cartílago perdida.25
Una vez determinado esto, se traza una línea desde el centro de la cabeza femoral hasta el punto determinado en los platillos tibiales y una segunda línea desde el centro del tobillo hasta el punto determinado de la corrección. El ángulo formado por estas dos líneas corresponde al ángulo de corrección de la línea de carga7 (figs. 8 y 9).

Figura 8: Cálculo del punto de corrección de la deformidad en paciente con artrosis: la longitud total del ancho de los platillos tibiales es 76 mm y el 62% desde medial a lateral es 47 mm, a donde va a ir la corrección y el ángulo a corregir es de 12°.

Figura 9: Cálculo del punto de corrección de la deformidad en paciente sin artrosis: se calcula al 50% para evidenciar el cambio, encontrando que la mitad es 38 mm y el ángulo de corrección disminuye a 9°. Este cambio de la indicación de la osteotomía hace que en la figura 8 amerite una doble osteotomía (DLO) y en esta sólo con osteotomía de tibia pueda ser corregida la deformidad.
La tibia y el fémur tienen variaciones en el sitio de la osteotomía, este sitio es el de mejor capacidad de cicatrización o consolidación las metáfisis. En el fémur el lugar ideal es en la unión metafisodiafisaria mientras que en la tibia es totalmente metafisaria7 (fig. 10).

Figura 10: En el fémur distal se observa, en las líneas rojas, la posición ideal de la osteotomía preservando la bisagra lateral a 10 mm de la cortical lateral, y en la tibia proximal, y en verde, se observa la posición ideal de la osteotomía tibial dirigida a la articulación tibioperonea 10 mm medial a la cortical lateral.
Es muy importante tener en cuenta el grado de corrección con respecto a la línea de orientación articular, porque su aumento exagerado lleva a un incremento en las fuerzas de cizallamiento y complicaciones en la osteotomía, por lo tanto, en el planeamiento se debe tener en cuenta y apuntar a tener una línea articular con máximo 5° o menos de alteración, con un resultante MPTA <95°.16
Aunque algunos autores son más estrictos con la línea articular (JLO) y su límite superior, como un valor menor a 4°, Nakayama et al.26 encontraron que JLO ≥5° tiene el doble de fuerza de cizallamiento en comparación con JLO <5°.26 Babis et al.27 evaluaron la supervivencia de doble osteotomía con JLO ≤4°, encontraron 96% de supervivencia a los cien meses, lo que nos lleva a tener como objetivo un JLO máximo de 4°.
Al evaluar el compromiso de JLO nos lleva a pensar que algunas deformidades tienen una magnitud mayor y una sola osteotomía sobrepasa los límites permitidos para no tener alteración de la línea articular; la solución a este inconveniente, como ya lo habíamos mencionado en las indicaciones, es la osteotomía de doble nivel (DLO).16 Adicionalmente, hay literatura que evidencia que una HTO con una apertura mayor tiende a producir alteración no fisiológica de JLO y a su vez, comparada con una DLO, tiene tres veces más riesgo de fractura de la bisagra.28,29
La fractura de la bisagra es un problema al momento de realizar una osteotomía, varios estudios han revisado este tema y han determinado el punto o zona ideal para prevenir dicha complicación. Un estudio cadavérico comparó dos zonas de la cortical lateral de la tibia al momento de realizar HTO, un grupo dirigido a una zona segura entre la punta de la cabeza y la línea circunferencial de la cabeza del peroné; el otro grupo distal a esta línea, encontraron diferencias significativas con mayor riesgo de fractura de la cortical lateral en el segundo grupo, por lo que recomiendan esta zona segura del primer grupo, y encuentran una ventaja por la presencia de la cápsula femorotibial que se encuentra aproximadamente 3-18 mm distal a la línea articular, también refieren que, si se presenta una fractura en esta zona, la manifestación de la cápsula, la articulación tibioperonea ejerce un efecto estabilizador.30
En el caso del fémur, la bisagra debe estar ubicada a nivel proximal del cóndilo femoral medial, justo adyacente al ensanchamiento de los cóndilos femorales16 (ver fig. 10).
Cálculo de apertura de la osteotomía
Si bien múltiples autores han descripto métodos y realizado tablas para saber los milímetros de apertura de la osteotomía,31 actualmente se utiliza un método trigonométrico para determinar la altura de la cuña usando la siguiente ecuación: y = x tan(θ), donde “y” es la altura de la cuña, “x” es el ancho real de la tibia al nivel de la osteotomía planificada, línea dirigida a la articulación tibioperonea, y “θ” es el ángulo de corrección deseado32 (figs. 11 y 12).

Figura 11: Cálculo de apertura de la osteotomía: la cuña = tangente (7° corrección), x longitud de osteotomía (53 mm), el resultado es el otro lado del triángulo (los mm de apertura de la osteotomía), en este caso es 6.5 mm.

Figura 12: Cálculo de apertura de la osteotomía: la línea roja más la amarilla es la distancia completa (63 mm) en el nivel de la osteotomía desde la cortical medial hasta la lateral, la línea amarilla (53 mm) corresponde a la longitud exacta de la osteotomía restando 10 mm a la línea roja (distancia para la bisagra lateral), la línea blanca corresponde al pin de protección de la bisagra (dirigido al área subcondral platillo lateral y a 10 mm de la cortical lateral).
Esta forma de realizar el cambio de tener un objetivo de corrección en grados y convertirlo a milímetros tiene que ver con la manera de aplicarlo al momento de la cirugía: sabiendo las longitudes de un triángulo que se va a formar por la longitud de la osteotomía, y teniendo el valor previamente planificado de apertura en grados, podemos obtener el otro lado del triángulo que corresponde a los milímetros de apertura o de resección para obtener el MAD en el punto deseado de acuerdo a la corrección (figs. 13 a 16).

Figura 13: Cálculo de la longitud total desde la cortical medial a lateral: en este caso es 63 mm, se restan 10 mm para la bisagra lateral y la protección de esta con el pin, teniendo una longitud de osteotomía de 53 mm, con un ángulo de corrección de 9°. Se realiza la fórmula trigonométrica para la cuña de apertura, que es igual a tangente de 9° (0.15) por la longitud de osteotomía (53 mm), dando como resultado: 8.3 mm de apertura.

Figura 14: Proyección de la corrección: se realiza la corrección para tener un MAD que pasa por el 50% de la línea orientación articular de la rodilla, midiendo en MPTA resultante para tener la seguridad que no va a alterar la línea orientación articular (MPTA: 92° - dentro de límite aceptable).

Imagen 15: Cálculo de apertura de la osteotomía en paciente artrósico: la corrección está dirigida al 62%, por lo cual el ángulo de corrección es de 12°. Se considera una DLO, en el caso del fémur distal se realiza un planeamiento de una osteotomía de cierre lateral con una longitud total desde la cortical lateral supracondílea hasta la cortical medial de 60 mm, restando los 10 mm de la protección de la bisagra y espacio para el pin, da una longitud real de la osteotomía de 50 mm (línea roja en el fémur distal), con la fórmula trigonométrica dejando para corregir 4° en fémur y 8° en tibia, dan como resultado 4 mm de cierre en la osteotomía del fémur y en la tibia una longitud total de 63 mm y longitud de la osteotomía de 53 mm, con los 8° restantes de corrección dan 7 mm de apertura, lo que otorga como resultado un MAD que pasa por el 62% planeado.

Figura 16: Medición del mLDFA y MPTA postcorrección: después del planeamiento de la osteotomía se calcula el mLDFA, en este caso es de 88° (valor normal 85-90°) y el MPTA es de 89° (valor normal 85-90°), considerados ángulos corregidos normales y sin alteración de la línea articular.
El grado de corrección de la deformidad y la conversión a milímetros es un punto crucial en el planeamiento, pero también se debe tener en cuenta el punto de la bisagra de la osteotomía para obtenerlo y, una vez identificado, durante la cirugía es vital mantenerlo y preservarlo, ya que es un factor determinante en la consolidación y estabilidad de esta.33
Debido a las complicaciones que lleva consigo la pérdida de la bisagra de la osteotomía, varios autores han propuesto algunas opciones como: tener cuidado con la velocidad y la profundidad del corte, protectores de corte, el desarrollo con guías de corte paciente específico lo que amerita tomografía con reconstrucción tridimensional.34,35
Matthew Olliver et al.34 realizaron un estudio retrospectivo de osteotomías y fracturas de la bisagra lateral, con uso de un pin protector de la bisagra, y sin este, posicionado desde anteromedial hasta lateral ubicado a 10 mm de la cortical lateral, concluyen que este pin actúa como un protector lateral, teniendo un papel que absorbe la fuerza al momento de abrir la osteotomía y también como un punto de tope de la sierra al momento de realizar el corte. Determinan, así, que reduce el número de fracturas intraoperatorias de la bisagra lateral y hasta las primeras seis semanas, tiene una disminución en el tiempo de consolidación y retorno al trabajo y al deporte11,34 (fig. 17).

Figura 17: Posicionamiento de los pines: se observa la aplicación intraoperatoria de la posición de los pines de la osteotomía y el pin de protección, en este caso se colocó anterógrado desde el ángulo posterolateral dirigido hacia la cortical medial a 10 mm de la cortical lateral.
El método de planeamiento que se enumeró y explicó previamente tiene tres formas de comprobarse de forma pre e intraquirúrgica: la primera forma es mediante el software, se mide el espacio al cual se le hizo la apertura y esto da los milímetros de la cuña, que se compara con el resultado de la fórmula trigonométrica que usa la tangente del triángulo (fig. 18). La segunda forma es desarrollada por uno de los autores de este trabajo, conocido como Método Alzate, y consiste en obtener los milímetros de apertura a partir del ángulo de deformidad, al tener la longitud de osteotomía se ubica en el punto de la corrección y se mide la distancia hacia proximal, que formaría el lado de un triángulo, luego la misma medida sería el otro lado del triángulo, y se miden los milímetros del tercer lado del triángulo o su base, y esto debe corresponder al mismo resultado de la tangente del ángulo de corrección multiplicado por la distancia (fig. 19).

Figura 18: Medición de la apertura de la cuña mediante el software.

Figura 19: Método Alzate: En el planeamiento obtenemos la longitud de la osteotomía, y también se tiene el ángulo de corrección para que el MAD pase por el punto que previamente definimos (50% o 62%), en este caso el 50%, como sabemos que esta intersección de líneas forma el ángulo que debemos corregir, el método Alzate consiste en medir desde este punto la longitud de la osteotomía. En la imagen el punto C (Corrección), y la distancia O (Osteotomía), las medimos en cada una de las líneas, vamos a obtener dos lados de un triángulo isósceles, así que esto es la resolución gráfica de la fórmula trigonométrica. B (Brecha) sería el otro lado faltante, que corresponde a los milímetros de apertura, en este caso, 10 mm.
Sin embargo, esto es un dato que debe ser corroborado intraoperatorio ya que la longitud de la osteotomía puede variar. Teniendo el ángulo de corrección, e intraoperatorio, y la longitud exacta de la misma, sólo debemos obtener el dato de esta fórmula trigonométrica y los milímetros de apertura; esta sería la tercera forma de corroborarlos de manera intraoperatoria. La forma de aplicar este cálculo de los milímetros es obtener exactamente la apertura, o resección dependiendo el caso: en las figuras 20, 21 y 22 se puede observar la apertura y posterior medición para la corrección planeada.

Figura 20: Se observa intraoperatorio la forma de abrir la osteotomía con una cuña de 8 mm bajo intensificador de imagen.

Figura 21: Se evidencia la cuña manteniendo la apertura, pin de la osteotomía y su forma biplanar.

Figura 22: Obsérvese la apertura calculada en el planeamiento de 8 mm.
PROPUESTA DE PLANEAMIENTO
El propósito de esta revisión del planeamiento de osteotomías en el plano coronal alrededor de la rodilla es recabar la literatura de múltiples autores y la forma en que el grupo de rodilla que realizó este trabajo ha resumido y ha escogido cada uno de los aportes, y de esta manera mostrar lo que realizamos a diario al momento de planear una osteotomía.
Más abajo se resumen y explican cada uno de los pasos del planeamiento basados en un caso clínico: paciente femenina de cincuenta años con dolor medial de rodilla izquierda y deformidad progresiva en varo, se decide llevar a osteotomía valguizante de tibia izquierda, previo planeamiento prequirúrgico.
Paso 1
Evaluar que esté bien tomada la radiografía panorámica de miembros inferiores: corrección de discrepancias, visualización adecuada de cadera, rodilla y tobillo y rótula centrada, calibrar la escala de la radiografía (fig. 23).

Figura 23: Imagen de comprobación para Paso 1.
Paso 2. Test de mal alineamiento

Figura 24: Imagen correspondiente a Paso 2.

Figura 25: Imagen correspondiente a Paso 2.
Paso 3
Determinar el punto de corrección. Trazar una línea desde el centro de la cadera y el centro del tobillo dirigidos a este punto, la intersección de estas líneas son el grado de corrección. Punto de corrección: ancho de tibia 73 mm (62%: 45 mm), 10° de corrección.

Figura 26: Imagen correspondiente al Paso 3.
Paso 4
Trazar una línea correspondiente a la osteotomía: 4 cm distal a la superficie articular medial dirigida hacia la articulación tibioperonea proximal (línea azul de la fig. 27), esta línea va hasta 10 mm antes de la cortical lateral para obtener la longitud real de la osteotomía dejando espacio para el pin de protección de la bisagra (línea negra de la fig. 27).

Figura 27: Imagen correspondiente al Paso 4.
Paso 5
Realizar un corte de la imagen desde la línea de la osteotomía hasta la bisagra que rodea el resto del segmento óseo incluyendo el tobillo. Girar este corte con el centro en la bisagra hasta llevar la nueva línea de carga del miembro inferior hasta el centro del tobillo. Esta nueva línea debe ser colineal:

Figura 28: Imagen correspondiente al Paso 5.
Paso 6
Corroborar la corrección de la deformidad con tres métodos (fig. 29):

Figura 29: Imagen correspondiente a Paso 6.
Resultados postoperatorios
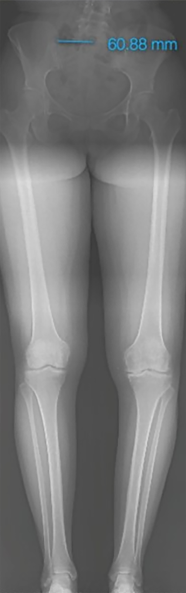
La radiografía panorámica postoperatoria se observa en la línea de carga del miembro inferior izquierdo, que pasa por el 62% del ancho de los platillos tibiales, ubicada a 45 mm, desde el platillo medial.
Con el software se corrobora esta medida, comprobando la exactitud del método de planeamiento y su resultado, también el MPTA resultante de 93°, que es exactamente el mismo calculado en el planeamiento (fig. 30).

Figura 30: Resultados postoperatorios.
DISCUSIÓN
En el presente artículo se realizó una revisión de varios conceptos y formas de efectuar las osteotomías con el propósito de desarrollar un método de planeamiento, este método agrupa varios pasos que nos llevan a tener una secuencia desde las indicaciones, valorar las radiografías, evaluar y determinar el origen de la deformidad, y así hacer la corrección obteniendo los resultados de la nueva alienación del miembro corregido. Todo esto, desde antes de ingresar a cirugía, con lo cual ya se tiene el plan quirúrgico y su resultado de manera muy precisa. En esta revisión se unen los conceptos con bases bibliográficas y la experiencia de los autores, con lo cual se ha decidido tomar esta forma de hacer la corrección y se trazan tres formas de verificar el planeamiento.
El método que plantea es simple, reproducible y permite disminuir tiempo quirúrgico, preparar los materiales con anterioridad y prever posibles complicaciones durante el procedimiento. Es un método preciso, sin lugar a errores en relación a sobre o subcorrección de la deformidad, ya que la osteotomía es un procedimiento mayor que no tolera errores. Desde antes de iniciarlo sabemos el resultado y podemos compararlo en el postoperatorio. Esto nos lleva a pensar un próximo trabajo de investigación que incluya la evaluación de los resultados de osteotomías con el método de planeamiento y las diferencias en el pre y postoperatorio.
Sin embargo, la propuesta tiene sus limitaciones en el contexto de que no se tienen evaluaciones pre y postoperatorias que permitan comparar resultados, será este un punto de partida para trabajos de investigación futuros.
Conclusiones
La mala alineación de la rodilla resulta en una distribución anormal de la carga, así como en un desgaste prematuro del compartimento sobrecargado. Al día de hoy las osteotomías toman especial importancia en población joven y activa; son procedimientos seguros y eficaces cuando se realizan en el marco de las indicaciones correspondientes.
Existen múltiples publicaciones sobre la planificación preoperatoria de las osteotomías alrededor de la rodilla. En este escrito realizamos un compendio de estas, en especial en busca de conceptos que consideramos importantes, la unión de estos en un solo método permite un abordaje más práctico de las osteotomías alrededor de la rodilla.
BIBLIOGRAFÍA