Artroscopía en fractura-luxación de cadera
Marvin Antonio Acosta González, Laura Julissa Torrez Hernández, Rafael Antonio Zelaya Alaniz
Hospital Antonio Lenin Fonseca, Managua, Nicaragua
RESUMEN
Los cuerpos libres intraarticulares en las luxaciones traumáticas de la cadera con fractura acetabular, o sin esta, son frecuentes. Presentamos un caso clínico de paciente femenina que sufrió accidente de tránsito, con luxofractura de cadera izquierda. Se realizó artroscopía de cadera extrayendo fragmento intraarticular. Ha tenido una evolución satisfactoria en su seguimiento. Control con TC de cadera no muestra fragmento osteocondral en su seguimiento, ni degeneración articular. Score de Harris de 95.
Palabras clave: Luxofractura de Cadera; Artroscopía de Cadera; Cuerpo Libre Osteocondral
ABSTRACT
Intra-articular loose bodies in traumatic hip dislocations with or without acetabular fracture are common. We present a clinical case of a female patient who had a traffic accident, with a left hip fracture-dislocation. Hip arthroscopy was performed, removing intra-articular fragment. It has had a satisfactory evolution in its follow – up. Control CT of the hip does not show an osteochondral fragment in its follow – up, nor joint degeneration. Harris score 95.
Keywords: Hip Dislocation; Hip Arthroscopy; Osteochondral Free Body
INTRODUCCIÓN
El primer reporte que se tiene de la utilización de un artroscopio en trauma de cadera es de 1980, por Goldman et al., en el que describe la extracción de una bala de la región posterosuperomedial de la superficie articular de la cadera.1 Los beneficios de la artroscopía terapéutica fueron reconocidos por Gross en 1977.2
Esta artroscopía ha aumentado su popularidad en los últimos años como una técnica mínimamente invasiva de diagnóstico y tratamiento para diversas patologías intrínsecas y/o relacionadas con la cadera. Otra ventaja de su utilización en trauma es la extracción de cuerpos libres osteocondrales.1 Es un método útil y menos invasivo para el diagnóstico y tratamiento de la patología intraarticular.
Foulk y Mullis describieron las indicaciones relativas para la realización de artroscopía de cadera en casos de luxación como alternativa para artrotomía abierta para reducción no concéntrica, para abordar una luxación asociada con una fractura acetabular estable que no requiere reducción abierta y fijación interna y/o para evaluación de cuerpos libres intraarticulares o una lesión labral residual. Es muy común que en la luxación traumática de la cadera se generen cuerpos libres que aceleren la aparición de osteoartrosis de la articulación.1
El objetivo de este trabajo es reportar una técnica mínimamente invasiva (artroscopía de cadera) que, aunque ya es conocida y practicada en países desarrollados hace unos años, en nuestro país es la primera cirugía de este tipo que se realiza, con resultados excelentes en su seguimiento, con la cual estamos iniciando la nueva era de la artroscopía de cadera en Nicaragua.
CASO CLÍNICO
Femenina de cuarenta y un años que acude a nuestra unidad de salud tras sufrir un accidente de tránsito en contexto de politrauma. Ingresa con diagnóstico de trauma craneoencefálico moderado sin indicación de cirugía, fractura cerrada de cúbito y radio derecho, lesión de partes blandas de rodilla izquierda Tscherne II no articular y luxación posterior de cadera izquierda.
De inmediato se procede a reducción de cadera izquierda en sala de operaciones y manejo de lesión de partes blandas de rodilla izquierda. Se envía control de rayos x y tomografía computarizada de cadera izquierda donde se evidencia fractura de la ceja posterior de acetábulo con fragmento osteocondral intraarticular y fractura de cabeza femoral Pipkin I (fig. 1A).
A los siete días del trauma, en período de ventana, se decide llevar a sala de operaciones para manejo definitivo y realizar artroscopía de cadera izquierda con extracción de cuerpos libres osteocondrales y RAFI de cúbito y radio derecho.
TÉCNICA QUIRÚRGICA
En sala de operaciones, se coloca paciente en decúbito supino, bajo anestesia general, en mesa de tracción. Con técnicas de asepsia y antisepsia de sitio quirúrgico se colocan campos estériles, con instrumental artroscópico completo, se realiza portal anterolateral guiado por fluoroscopia. Efectuamos, bajo visión directa y guiados con fluoroscopia, portal anterior donde encontramos fractura Pipkin I no desplazada, fragmento osteocondral de la pared posterior del acetábulo de 2 x 1 cm (figs. 1B-2A) y labrum acetabular posterolateral desprendido. Procedemos a extraer el fragmento osteocondral y labrum acetabular roto, desbridamiento con shaver de restos de tejido sinovial y labral inestable. Se cierran portales sin eventualidades. En segundo tiempo quirúrgico se realizó RAFI de cúbito y radio derecho.

Figura 1: A) Imagen de TC corte axial (arriba) y 3D (abajo), obsérvese fragmento osteocondral intraarticular, fractura de la cabeza femoral Pipkin I. B) Imagen de artroscopía de cadera donde se observa fragmento intraarticular de 2 x 1 cm (inferior derecha).
Seguimiento y rehabilitación
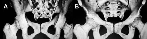
Dimos seguimiento a la paciente a los siete días de la cirugía, a la segunda, cuarta, octava, doceava y vigésima semanas posteriores a la cirugía. Se iniciaron ejercicios isotónicos e isométricos de cuádriceps femoral, isquiotibiales, abductores y aductores, además de flexión activa de cadera desde el primer día de la cirugía. Se restringió apoyo de miembro inferior izquierdo durante doce semanas. Posteriormente, se solicitó TC de cadera de control en la que se evidenció fractura Pipkin I consolidada con pequeño defecto de la ceja acetabular posterior menor al 10% (fig. 2), por lo que se envió al servicio de fisiatría para su plan de rehabilitación, fortalecimiento muscular y reeducación de la marcha.
A las veinte semanas encontramos paciente con rangos de movilidad completos, sin dolor y con apoyo total sin muletas, sin limitación al deambular (score de Harris de 95). Se le recomienda retomar a sus actividades físicas diarias sin restricción.

Figura 2: A) Imagen de TC3D donde se observa pequeño defecto de la ceja acetabular posterior. B) Imagen de TC3D donde se observa fractura de Pipkin I cadera izquierda consolidada.
DISCUSIÓN
La artroscopía de cadera ha tenido un progreso relativamente lento comparado con las técnicas desarrolladas en rodilla y hombro. Existe una serie de razones que justifican este fenómeno: la articulación de la cadera es menos accesible que otras articulaciones debido a la profundidad de su localización, lo que dificulta la maniobrabilidad y triangulación del instrumental, los tejidos musculares y fibrocartilaginosos.3 En los Estados Unidos, la realización de procedimientos artroscópicos de cadera aumentó en más de un 600% del año 2006 al 2010, con una tasa de complicaciones de aproximadamente el 5%. Sin embargo, sus indicaciones específicas en pacientes con traumatismo de cadera aún no están bien definidas.1
Se han realizado reportes de casos como el de Bancha et al., en el que se evaluó el seguimiento de casos a los 15.7 meses. La puntuación media de Harris Hip Score fue de 89.8, además ningún paciente desarrolló las complicaciones comúnmente asociadas, incluidas la necrosis avascular, la osificación heterotópica y la lesión nerviosa, entre otras.1 En nuestro caso tuvimos un score de Harris de 95 con excelentes resultados en su seguimiento y sin complicaciones.
Después del procedimiento quirúrgico y tras el alta, la rehabilitación comienza en el domicilio, se recomienda que el paciente realice ejercicios isotónicos e isométricos al igual que los movimientos activos de la cadera sin apoyo ya que estará relacionado con el tiempo de consolidación de la fractura.4
Siguiendo dicho protocolo, consideramos importante dar prioridad a la recuperación del rango de movilidad de nuestra paciente, además del fortalecimiento muscular mientras se inicia la marcha, en este caso a las doce semanas, cuando se realizó tomografía que evidenció consolidación ósea de cabeza femoral.
En nuestro medio nos encontramos con poca relación con este tipo de casos y además hay nula experiencia, por falta de entrenamiento en la técnica quirúrgica artroscópica. Sin embargo, el caso en estudio es idóneo para realizar un abordaje mínimamente invasivo, evadiendo así las complicaciones conocidas del abordaje abierto convencional (osteonecrosis, lesión neurológica, infección, sangrado) además de mayor tiempo de recuperación.5 Entrenados en la técnica quirúrgica y con el instrumental adecuado procedimos a realizar la cirugía, con evolución satisfactoria.
CONCLUSIONES
A pesar de que en la literatura existen estudios sobre la utilidad de la artroscopía de cadera en lesiones traumáticas, no hay aún indicaciones específicas y aunque la artrotomía ha demostrado ser efectiva, la alta incidencia de morbilidad y la visualización disminuida abre el panorama para una mayor utilización de la artroscopía.
Aunque las indicaciones de artroscopía de cadera aún no están bien especificadas, ya existen reportes de casos similares al nuestro donde se han demostrado resultados alentadores con franca ventaja respecto a la cirugía abierta en el manejo de las patologías traumáticas de la cadera con fragmentos libres intraarticulares.
La relevancia de este caso es que es el primero que se realiza en nuestro país, Nicaragua, con lo cual estamos abriendo el camino para la nueva era de la artroscopía de cadera y, lo más importante, los resultados de nuestra paciente son excelentes.
Consideramos que este reporte de caso servirá de referencia para futuros estudios y mayor desarrollo de la artroscopía en nuestro medio.
BIBLIOGRAFÍA