Reconstrucción del lca con aloinjerto más refuerzo con férula interna (internalbracetm)
Nota técnica y revisión bibliográfica
Horacio F. Rivarola Etchetoa, Cristian Collazoa, Marcos Meninatoa, Facundo Cosinia, Juan M. Carraroa y Jaime A. Villamizar Pabonb.
a Hospital Universitario Austral, Hospital Universitario Fundación Favaloro (Buenos Aires, Argentina);
b Centro Internacional de Especialistas CIE (Bucaramanga, Colombia)
Horacio Rivarola Etcheto
horaciorivarola@hotmail.com
Recibido: mayo de 2020
RESUMEN
La ruptura del ligamento cruzado anterior (LCA) es de las lesiones más comunes relacionadas con el deporte. Se utilizan diferentes tipos de injerto para realizar su reconstrucción. Existen trabajos que han demostrado resultados satisfactorios con aloinjerto, sin embargo, muchos de estos han reportado altos índices de falla en pacientes jóvenes. La mayoría de estos aloinjertos eran irradiados. La aumentación del injerto para cirugía del LCA está demostrando resultados favorables, y el aloinjerto más refuerzo con una férula interna (InternalBracetm) representa un área prometedora en la cirugía de reconstrucción de LCA.
El objetivo de este trabajo es presentar una reconstrucción de LCA utilizando aloinjerto reforzado con una férula interna (IB) y una revisión de la literatura.
Palabras claves: Ligamento cruzado anterior; LCA; Aloinjerto; Refuerzo; InternalBracetm
ABSTRACT
Anterior cruciate ligament (ACL) tears are among the most common sports-related injuries. Different types of graft are used to perform ACL reconstruction. Although studies have shown reliable outcomes with allograft tissue, several have reported a higher failure rate in younger patients. Most of these allografts were irradiated. ACL graft augmentation has met with varying levels of success, internal bracing of an allograft represents a promising area in ACL reconstruction surgery. The purpose of this article is to detail allograft preparation with an internal brace augmentation for ACL reconstruction and literature review.
Key Words: Anterior cruciate ligament; ACL; Allograft; Reinforce; InternalBracetm
INTRODUCCIÓN
La lesión del ligamento cruzado anterior (LCA) es la más frecuente en rodilla tratada quirúrgicamente. En EE. UU. se realizan más de 175.000 reconstrucciones por año.1 Existe controversia a la hora de elegir el injerto a utilizar. En los últimos años una gran cantidad de estudios han intentado comparar los diferentes injertos buscando encontrar el “injerto ideal”. Los autoinjertos son considerados como el patrón de oro en la reconstrucción del LCA,2 conociendo su morbilidad, como pueden ser el riesgo de fractura patelar, dolor residual anterior de rodilla, riesgo de artrosis y tendinitis como secuela al uso del tendón rotuliano; o la debilidad muscular flexora, desgarros a repetición y la discusión sobre si es buena idea resecar tendones agonistas del LCA con el uso de isquiotibiales.3 Por esta razón algunos cirujanos ortopedistas usaron aloinjertos en cirugías de reconstrucción primaria del LCA, principalmente en pacientes de baja demanda, con la ventaja de no tener morbilidad generada por la toma del injerto.4
A pesar de los beneficios del uso de aloinjertos, estudios han demostrado una integración más lenta5 y mayores índices de ruptura en pacientes jóvenes;6 todo esto relacionado con su capacidad biológica inherente y su alteración por los procesos de esterilización.5, 7
En los últimos años se han diseñado implantes para aumentar o reforzar las reparaciones y reconstrucciones ligamentarias en diferentes articulaciones con buenos resultados.8, 9 La férula interna o “InternalBrace™” (IB) está conformada por una cinta de polietileno de ultra alto peso molecular (UHMWPE, por sus siglas en inglés) y poliéster, sobre un núcleo de ultra sutura FiberWire® (FiberTape® (FT) – Arthrex®, Naples, FL) asociado a sistemas de fijación (botones o anclajes sin nudos) en ambos extremos.10 Así, el uso del IB en cirugía de reconstrucción primaria del LCA, tiene como propósito proteger el injerto en su proceso de maduración, donde está más propenso a la elongación o falla,11, 12 y permitir realizar protocolos de rehabilitación acelerados.10
En el siguiente trabajo se expone un caso clínico de lesión del LCA, con énfasis en los detalles técnicos para su reconstrucción utilizando aloinjerto reforzado con una férula interna (IB) y una revisión de la literatura.
PRESENTACIÓN DEL CASO
Paciente de sexo femenino de cincuenta y cinco años, empresaria, muy activa, deportista, que luego de mecanismo indirecto esquiando, pie fijo más rotación, sufre lesión de su rodilla izquierda refiriendo dolor e inestabilidad.
Al examen físico presentaba derrame articular, dolor en compartimiento medial, Lachman ++, Pivot ++, sin laxitudes periféricas.
La resonancia magnética (RM) mostró lesión aguda y completa del LCA, edema óseo en el compartimento lateral y edema periligamento colateral medial.
Se plantearon las posibilidades terapéuticas, desde el tratamiento conservador al quirúrgico. Dada la inestabilidad objetiva, las características y expectativas de la paciente, se decidió realizar la reconstrucción primaria del LCA con aloinjerto y reforzamiento con IB.
TÉCNICA QUIRÚRGICA
Paciente en decúbito dorsal, cumpliendo el protocolo de profilaxis antibiótica, bajo anestesia raquídea, sin el uso de soporta muslo. A través de portales clásicos (anterolateral y anteromedial) se exploró la articulación, y se procuró identificar lesiones asociadas. En concordancia con estudio previo de RM se corroboró la rotura completa de las fibras del LCA, con meniscos y cartílagos sin lesiones traumáticas.
A continuación, la reconstrucción del LCA fue practicada con técnica transportal medial (anatómica), permitiendo cubrir mejor la huella femoral. Se usó un punzón de microfracturas para marcar el centro de la huella en 90° de flexión; se procedió a apoyar en ese punto la punta espada, se flexionó la rodilla a 120° y se pasó la misma, luego se fresó 9 mm (fig. 1) y posteriormente se realizó el túnel tibial con guía a 55°, utilizando una fresa 8 y luego usando dilatador de 9 mm para compactar el hueso esponjoso (fig. 2).
Figura 1:Visión artroscópica de rodilla izquierda. A) Cartílagos y menisco interno sanos. B) Cartílagos y menisco externo sanos. C) Lesión completa del LCA. D) Túnel femoral realizado por portal AM.

Figura 2:A) Guía apoyada sobre la huella tibial. B-C) Fresado de 8 mm y utilización de dilatador de 9 mm en el túnel tibial.
Se preparó el aloinjerto de tibial anterior de banco de tejidos HUA, doble pretensado de 9 mm de diámetro (fig. 3).

Figura 3: Aloinjerto de tibial anterior preparado doble, pretensado.
Se preparó el sistema de fijación ACL TightRope® (Arthrex®, Naples, FL), pasando primero el FiberTape® a través de los orificios del botón, colgando, posteriormente, el aloinjerto en las suturas entrelazadas del sistema para, de esta manera, garantizar una fijación independiente del aloinjerto con respecto al InternalBracetm (fig. 4).

Figura 4:ACL Tighrope® con el InternalBracetm pasado por los orificios del botón.
Se procedió a realizar el pasaje del injerto, siempre bajo control artroscópico, colocando la óptica en portal anteromedial. Se desplegó y aseguró (Flip) el botón cortical autoajustable; luego se realizó el izado del injerto, traccionando secuencialmente de las suturas blancas para ir rellenando el túnel femoral. Lo ideal con el TightRope® es “izar” el injerto marcándolo hasta que queden 5-10 mm para llegar al fondo del túnel ciego femoral.
El aloinjerto se fijó a nivel tibial con tornillo BioComposite de 10 x 28 mm (Arthrex®, Naples, FL), en 10-20° de flexión y se aseguró el IB en extensión completa con anclaje SwiveLock de 4.75 mm (Arthrex®, Naples, FL) (fig. 5). Acto seguido, se realizó el retensado del TightRope® en extensión completa.
La ventaja del sistema de fijación de banda ajustable es poder retensar el injerto una vez fijado este a nivel tibial, limitando la potencial laxitud residual ocasionada al momento de introducir el tornillo en dirección intraarticular.

Figura 5:Kit SwiveLock® (Arthrex®, Naples, FL) con su mecha y macho correspondiente.
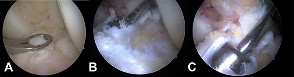
Es importante destacar que el IB en ningún momento compite con el injerto de reconstrucción del LCA. En flexión, el FiberTape® se relaja. Por el contrario, cuando la rodilla se extiende se puede observar como el FiberTape® se tensa para evitar sobreconstreñir la rodilla o competir con la integración del injerto, y así cumplir su función de cinturón de seguridad (fig. 6).

Figura 6: A-B) Visualización artroscópica en 90° de flexión. Plástica del LCA con aloinjerto de tibial anterior, InternalBracetm más laxo. C-D) Visualización en extensión, InternalBracetm con buena tensión.
Luego de la fijación tibial se realizó visualización final de la reconstrucción del LCA y refuerzo con InternalBracetm (fig. 7).
Figura 7: Visualización final de la reconstrucción del LCA con aumentación InternalBracetm.
El protocolo de rehabilitación comenzó a la semana postoperatoria, con ejercicios isométricos y luego activos. Al mes se adicionó bicicleta fija; al tercer mes, trote ligero. Siguió con el plan de fortalecimiento y al octavo mes retornó al deporte.
DISCUSIÓN
La cirugía de reconstrucción del LCA ha sufrido modificaciones desde su implementación hasta la fecha, estas se han debido al mejor conocimiento de su anatomía, biomecánica y al desarrollo de nuevas tecnologías en los sistemas de fijación.
Las diferentes opciones de injertos e implantes con las que contamos en la actualidad, permiten realizar técnicas anatómicas reproducibles, cuya indicación estará dada por las características del paciente y preferencias del cirujano.2, 3
Los aloinjertos tienen la ventaja de no generar morbilidad de zona donante y disminuir los tiempos quirúrgicos.4 Las desventajas se relacionan con su capacidad de generar respuesta inmunológica, la potencial trasmisión de enfermedades y la alteración de su capacidad biológica por los procesos de esterilización.5, 7
Otro aspecto a tener en cuenta es que el tiempo de integración de los aloinjertos, comparado con los autoinjertos, es más lento debido a los cambios estructurales en las fibras de colágeno y sus propiedades tensiles.5 Esta demora implica limitaciones en los procesos de rehabilitación y retorno deportivo, y explicarían su mayor índice de ruptura.6
En las publicaciones internacionales la mayoría de los aloinjertos utilizados son irradiados, lo que implica una gran pérdida de sus propiedades biomecánicas, pero es un requerimiento para la inactivación viral.7, 13, 14
Hay estudios que reportan una alta tasa de fallas en pacientes jóvenes, con revascularización e incorporación del injerto más lenta en comparación con los injertos autólogos.15
El uso de estos aloinjertos aumentaría hasta tres veces la tasa de falla a diez años en pacientes jóvenes (8.3% autoinjerto versus 26.5% aloinjerto) y, por lo tanto, implicaría un mayor riesgo de cirugía de revisión.4, 6, 16
El registro danés muestra que el índice de revisión fue 2.2 veces más alto en aloinjertos comparado con injertos autólogos, teniendo en cuenta que se evaluaron mismos grupos etarios. El uso de aloinjertos fue asociado con mayor laxitud residual a un año de seguimiento. Sin embargo, los resultados clínicos subjetivos y la función de la rodilla no fueron inferiores en los pacientes en los que se había utilizado aloinjerto. Concluyen en los resultados de su trabajo que el injerto autólogo es más seguro como injerto de elección en cirugía de revisión del LCA.17
Por su parte, Grassi y col. realizaron un metanálisis comparando la utilización de diferentes tipos de injertos para la reconstrucción del ligamento cruzado anterior. Analizaron un total de 1192 pacientes con un promedio de edad de 28.7 años. Informaron que los aloinjertos irradiados con 2.5 Mrad tuvieron más laxitud en el postoperatorio, así como en las tasas de reintervenciones y complicaciones. Los aloinjertos no irradiados no difirieron entre complicaciones, reintervenciones y escalas funcionales de los autoinjertos.18
Maletis y col. toman datos de 14.015 revisiones de LCA del registro ACLR Kaiser, y comparan resultados de autoinjertos con aloinjertos según el método de procesamiento del mismo. Concluyen que los aloinjertos irradiados con menos de 1.8 Mrad con procesamiento químico, o sin este, tuvieron mayor riesgo de revisión, al igual que los aloinjertos irradiados con más de 1.8 Mrad sin procesamiento químico a los dos años, y con procesamiento químico después del año postoperatorio. Los aloinjertos no procesados no tuvieron mayor riesgo de revisión en comparación con los autoinjertos. Resuelven que el procesamiento y el tiempo transcurrido de la cirugía afectan el riesgo de revisión, que es más marcado en injertos con mayor irradiación y exposición química.19, 20
Posteriormente, al conocerse las implicancias en las propiedades biomecánicas que la irradiación generaba en el aloinjerto,7 se comenzaron a usar aloinjertos frescos congelados no irradiados, sin embargo, los resultados clínicos continúan publicándose como inferiores comparados con los autoinjertos.21-23
Nuestro equipo realizó, en el 2007, un estudio prospectivo comparativo en cirugías primarias del LCA utilizando injerto patelar autólogo y alogénico fresco congelado no irradiado. El porcentaje de falla de las plásticas fue del 20% para el grupo en que se utilizó aloinjertos y del 6.6% para el grupo en que se utilizó autoinjertos.
Sobre la base de esta experiencia, y de la reportada en las publicaciones, nuestras indicaciones actuales para el uso de aloinjertos se limitan a plásticas multiligamentarias, en cirugías combinadas de osteotomía + LCA en un tiempo, en cirugías de revisión en pacientes mayores de cuarenta años con baja demanda, en cirugías de re-revisión para evitar invadir la rodilla contralateral y, en determinados casos, cuando el paciente lo solicita.24
La ingeniería de materiales biomédicos trabaja en varios sistemas para aumentar o proteger las reconstrucciones del ligamento cruzado anterior, además de favorecer el inicio temprano de movilidad y actividad física.
El IB en su concepto original se compone de un FiberTape® (FT) - Arthrex® que es una cinta de cadena larga de polietileno de ultra alto peso molecular más poliéster, multibanda, con biocompatibilidad intraarticular25, que auxilia en la reparación o reconstrucción de ligamentos, ya que es una adición indolora con un efecto estabilizador secundario y un papel restrictor que actúa al final del rango de movilidad, tal cual describe Mackay y colaboradores.26
Sus primeras utilizaciones fueron en tobillo, en la reparación y aumentación de lesiones del tendón de Aquiles,27, 28 y de los ligamentos laterales.8, 9 La experiencia, tanto en estudios biomecánicos como clínicos, demostró su papel protector y un aumento en las cargas de falla a las reconstrucciones tipo Broström; lo que permitió un más rápido retorno deportivo.8, 9, 29 Luego, debido a los resultados satisfactorios, se comenzó a emplear en la reparación y aumentación de ligamentos de la rodilla.30-32
Diferentes estudios recomiendan el IB para las reparaciones del ligamento colateral medial, reconstrucciones del ligamento anterolateral, reconstrucción de ligamento cruzado posterior y anterior, con la posibilidad de movilidad articular temprana y segura.26, 30-32
Sus principales indicaciones para lesiones del LCA en la actualidad son: reparación primaria o reinserción de LCA,12, 26, 31 autoinjertos menores a 8 mm, utilización de aloinjertos, cirugías de revisión, reconstrucciones del ligamento cruzado posterior (LCP), reconstrucciones extraarticulares, pacientes hiperlaxos y atletas de élite.12, 26, 30-32
Path Smith y col., describen las ventajas de asociar las reconstrucciones de ligamento cruzado anterior con aloinjertos e InternalBracetm, ya que minimiza la elongación, tiene menor riesgo de re-ruptura, fortalece la plástica y protege en el período de vascularización y remodelación.33
Estudios biomecánicos, como el de Bachmaier y col., describen una diferencia en relación a la disposición del FT en el constructo en reconstrucción del ligamento cruzado anterior, donde el paso de la cinta a través del asa del sistema de tenosuspensión se denomina “aumentación”. Si la cinta pasa a través de la miniplaca del sistema de tenosuspensión de fijación femoral, se denomina “refuerzo”, y está directamente relacionado con el concepto biomecánico que describe como efecto de “cinturón de seguridad”. En este mismo estudio demuestran como el refuerzo con IB en injertos de diámetro estándar (9 mm) disminuye su elongación biomecánica en un 15% y un 26% con cargas cíclicas de 250N y 400N respectivamente.10
Las ventajas del IB son: tensión independiente a la del injerto y protección durante el período de ligamentización, además permite una rehabilitación precoz, potencialmente podría prevenir la ocurrencia de re-lesión. Su tamaño es de 3 mm, es flexible, presenta técnica reproducible y es biocompatible. Como desventajas presenta la posibilidad de sobreconstreñir la articulación y la de falla por estrés, para lo cual se recomienda fijación independiente en tibia en extensión completa de la rodilla y colocación de una pinza debajo de la cinta en el momento de la tensión del implante.10, 12, 26
CONCLUSIÓN
La reconstrucción del LCA con aloinjerto asociado al sistema de refuerzo con IB es una técnica reproducible con ventajas biomecánicas respecto a la técnica estándar33 aumentando las cargas de falla del constructo10 y protegiendo, de esta manera, el aloinjerto de desgarros durante los procesos de rehabilitación, o de fallas en el seguimiento, disminuyendo las tasas de revisión.
En este artículo se expuso un caso clínico sin complicaciones y retorno deportivo satisfactorio a los ocho meses. Se hizo una descripción detallada de la técnica y mecanismos de fijación paso a paso. La revisión de las publicaciones internacionales da soporte de los beneficios del uso del IB, sin embargo, no hay estudios con cohortes de seguimiento que incluyan esta técnica específica.
Nuestra recomendación preliminar de esta técnica es para pacientes mayores de cuarenta años o de edad intermedia a baja demanda funcional, y para pacientes que realicen deportes recreativos que no incluyan pivoteo. Futuros estudios permitirán definir las características ideales de la población que se beneficie con esta técnica, así como los resultados a largo plazo en cohortes de mayor número de pacientes.
BIBLIOGRAFÍA